气胸

来自医学百科

胸膜腔胸膜壁层脏层构成,是不含空气的密闭的潜在性腔隙。任何原因使胸膜破损,空气进入胸膜腔,称为气胸(pneumothorax)。此时胸膜腔内压力升高,甚至负压变成正压,使肺脏压缩,静脉回心血流受阻,产生不同程度的肺、心功能障碍。用人工方法将滤过的空气注入胸膜腔,以便在X线下识别胸内疾病,称为人工气胸。由胸外伤、针刺治疗等所引起的气胸,称为外伤性气胸。最常见的气胸是因肺部疾病使肺组织和脏层胸膜破裂,或者靠近肺表面的肺大疱、细小气肿泡自行破裂,肺和支气管内空气逸入胸膜腔,称为自发性气胸

Bkel0.jpg

  

病因

肺无明显病变由胸膜下气肿泡破裂形成者称特发性气胸;继发于慢阻肺肺结核等胸膜及肺疾病者称继发性气胸.按病理生理变化又分为闭合性(单纯性)、开放性(交通性)和张力性(高压性)三类  

1.外伤气胸:常见各种胸部外伤,包括锐器刺伤及枪弹穿透伤肋骨骨折端错位刺伤肺,以及诊断治疗性医疗操作过程中的肺损伤,如针灸刺破肺活检,人工气胸等

2.继发性气胸:为支气管肺疾患破入胸腔形成气胸。如慢性支气管炎尘肺支气管哮喘等引起的阻塞性肺性疾患,肺间质纤维化蜂窝肺和支气管肺癌部分闭塞气道产生的泡性肺气肿肺大泡,以及靠近胸膜的化脓性肺炎肺脓肿结核性空洞,肺真菌病先天性肺囊肿

3.特发性气胸:指平时无呼吸道疾病病史,但胸膜下可有肺大泡,一旦破裂形成气胸称为特发性气胸多见于瘦长体型的男性青壮年。

4.慢性气胸:指气胸经2个月尚无全复张者。其原因为:吸收困难的包裹性液气胸,不易愈合的支气谈判 胸膜瘘肺大泡或先天性支气管囊肿形成的气胸,以及与气胸相通的气道梗阻或萎缩肺覆以较厚的机理化包膜阻碍肺复张。

5.创伤性气胸 胸膜腔内积气称为气胸。创伤性气胸的发生率在钝性伤中约占15%~50%

创伤性气胸

,在穿透性伤中约占30%~87.6%。气胸中空气在绝大多数病例来源于肺被肋骨骨折断端刺破(表浅者称肺破裂,深达细支气管者称肺裂伤),亦可由于暴力作用引起的支气管或肺组织挫裂伤,或因气道内压力急剧升高而引起的支气管或肺破裂。锐器伤火器伤穿通胸壁,伤及肺、支气管和气管或食管,亦可引起气胸,且多为血气胸脓气胸。偶尔在闭合性或穿透性膈肌破裂时伴有胃破裂而引起脓气胸。  

机理

胸膜下气肿泡可为先天性,也可为后天性;前者系先天性弹力纤维发育不良肺泡壁弹性减退,扩张后形成肺大泡,多见于瘦长型男性肺部X线检查无明显疾病,后者较常见于阻塞性肺气肿炎症后纤维病灶的基础上,细支气谈判 半阻塞扭曲,产生活瓣机制而形成气肿泡,胀大的气肿泡因营养循环障碍退行变性,以致在咳嗽肺内压增高时破裂。

常规X线检查,肺部无明显病变,但胸膜下(多在肺尖部)可有肺大疱,一旦破裂所形成的气胸称为特发性气胸,多见于瘦高体型的男性青壮年。非特异性炎症瘢痕或弹力纤维先天发育不良,可能是形成这种胸膜下肺大疱的原因。

自发性气胸常继发于基础肺部病变,如肺结核(病灶组织坏死;或者在愈合过程中,瘢痕使细支气管半阻塞形成的肺大疱破裂),慢性阻塞性肺疾患(肺气肿泡内高压、破裂),肺癌(细支气

肺癌

半阻塞,或是癌肿侵犯胸膜、阻塞性肺炎、继而脏层胸膜破裂)、肺脓肿、尘肺等。有时胸膜上具有异位子宫内膜,在月经期可以破裂而发生气胸(月经性气胸)。

自发性气胸以继发于慢性阻塞性肺病和肺结核最为常见,其次是特发性气胸。脏层胸膜破裂或胸膜粘连带撕裂,其中血管破裂,可以形成自发性血气胸。航空、潜水作业而无适当防护措施时,从高压环境突然进入低压环境,以及持续正压人工呼吸加压过高等,均可发生气胸。抬举重物等用力动作,咳嗽、喷嚏、屏气或高喊大笑等常为气胸的诱因。  


临床类型

根据脏层胸膜破口的情况及其发生后对胸腔内压力的影响,将自发性气胸分为以下三种类型:

一、闭合性气胸(单纯性)

闭合性气胸

呼气肺回缩时,或因有浆液渗出物使脏层胸膜破口自行封闭,不再有空气漏入胸膜腔。

胸膜腔内测压显示压力有所增高,抽气后,压力下降而不复升,说明破口不再漏气。胸膜腔内残余气体将自行吸收,胸膜腔内压力即可维持负压,肺亦随之逐渐复张。

二、张力性气胸(高压性)

胸膜破口形成活瓣性阻塞,吸气时开启,空气漏入胸膜腔;呼气时关闭,胸膜腔内气体不能再经破口返回呼吸道而排出体外。其结果是胸膜腔内气体愈积愈多,形成高压,使肺脏受压,呼吸困难纵隔推向健侧,循环也受到障碍,需要紧急排气以缓解症状

若患侧胸膜腔内压力升高,抽气至负压后,不久又恢复正压,应安装持续胸膜腔排气装置。

三、开放性气胸(交通性)

开放性气胸

因两层胸膜间有粘连和牵拉,使破口持续开启,吸气和呼气时,空气自由进出胸膜腔。患侧胸膜腔内压力为0上下,抽气后观察数分钟,压力并不降低。

根据发病原因气胸可分为以下几种类型:

1、创伤后气胸:胸部被锐器刺伤后引起;

2、原发性气胸:没有肺部明显病变的健康者所发生的气胸,多见于20-40岁的青壮年,男性多见;

3、继发性气胸:继发于肺部各种疾病基础上发生的气胸,如慢性支气管炎、肺气肿、肺结核、肺癌等。

原发性气胸通常是由于先天性肺组织发育不全,胸膜下存在着的肺小疱或肺大疱破壁后引起,病变常位于肺尖部;继发性气胸是由于原有的肺脏病变,形成胸膜下的肺大疱破裂或者是由于病变本身直接损伤胸膜所致。

自发性气胸多为单侧,双侧同时存在仅占10%左右,继发性气胸则双侧同时存在的机率极大,患者气胸后常有突发胸痛,为尖锐持续性刺痛或刀割痛。吸气加重,多在前胸、腋下部,可放射到肩、背、上腹部,随之出现呼吸困难,严重程度与气胸发生的快慢、类型、肺萎缩程度和基础肺功能有密切关系,单侧闭合型气胸,尤其肺功能正常的青年人可无明显呼吸困难,甚至肺压缩80-90%或仅在活动、上楼时稍感气短,而张力性气胸或原有阻塞性肺气肿的老人可有明显呼吸困难,即使肺压缩仅20-30%时也有气急。刺激性干咳是由于气体刺激胸膜产生,多不严重,无痰或偶有少量血丝痰,可能来自肺破裂部位。  

临床表现

患者常有持重物、屏气、剧烈运动等诱发因素,但也有在睡眠中发生气胸者,病人突感一侧胸痛、气急、憋气,可有咳嗽、但痰少,小量闭合性气胸先有气急,但数小时后逐渐平稳,X线也不一定能显示肺压缩。若积气量较大者或者原来已有广泛肺部疾患,病人常不能平卧。如果侧卧,则被迫使气胸患侧在上,以减轻气急。病人呼吸困难程度与积气量的多寡以及原来肺内病变范围有关。当有胸膜粘连和肺功能减损时,即使小量局限性气胸也可能明显胸痛和气急。

张力性气胸由于胸腔内骤然升高,肺被压缩,纵隔移位,出现严重呼吸循环障碍,病人表情紧张、胸闷、甚至有心律失常,常挣扎坐起,烦躁不安,有紫绀、冷汗、脉快、虚脱、甚至有呼吸衰竭、意识不清。

在原有严重哮喘或肺气肿基础上并发气胸时,气急、胸闷等症状有时不易觉察,要与原先症状仔细比较,并作胸部X线检查。体格显示气管多移向健侧,胸部有积气体征。

体征:少量胸腔积气者,常无明显体征。积气量多时,患者胸廓饱满,肋间隙变宽,呼吸度减弱;语音震颤及语音共振减弱或消失。气管、心脏移向健侧。叩诊患侧呈鼓音。右侧气胸时可致肝浊音界下移。听诊患侧呼吸音减弱或消失。有液气胸时,则可闻及胸内振水声。血气胸如果失血过多,血压下降,甚至发生失血性休克。  

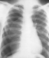
影像学检查

X线胸片检查是诊断气胸的重要方法,可显示肺受压程度,肺内病变情况以及有无胸膜粘连、胸腔积液及纵隔移位等。气胸的典型X线表现为外凸弧形的细线条形阴影,称为气胸线,线外透亮度增高,无肺纹理,线内为压缩的肺组织。大量气胸时,肺脏向肺门回缩,呈圆球形阴影。大量气胸或张力性气胸常显示纵隔及心脏移向健侧。合并纵隔气肿在纵隔旁和心缘旁可见透光带。

肺结核或肺部慢性炎症使胸膜多处粘连,发生气胸时,多呈局限性包裹,有时气胸互相通连。气胸若延及下部胸腔,肋膈角变锐利。合并胸腔积液时,显示气液平面,透视下变动体位可见液面亦随之移动。局限性气胸在后前位胸片易遗漏,侧位胸片可协助诊断,或在x线透视下转动体位可发现气胸。

CT表现为胸膜腔内出现极低密度的气体影,伴有肺组织不同程度的萎缩改变。CT对于小量气胸、局限性气胸以及肺大疱与气胸的鉴别比X线胸片更敏感和准确。

气胸容量的大小可依据x线胸片判断。由于气胸容量近似肺直径立方与单侧胸腔直径立方的比率[(单侧胸腔直径。一肺直径。)/单侧胸腔直径。)],侧胸壁至肺边缘的距离为1cm时,约占单侧胸腔容量的25%左右,2cm时约50%。故从侧胸壁与肺边缘的距离≥2cm为大量气胸,<2cm为小量气胸。如从肺尖气胸线至胸腔顶部估计气胸大小,距离≥3cm为大量气胸,<3cm为小量气胸。  

并发症

(一)复发性气胸 约1/3气胸2-3年内可同侧复发。对于多次复发的气胸。能耐受手术者作胸膜修补术;对不能耐受剖胸手术者,可考虑胸膜粘连疗法。可供选用的粘连剂有四环素粉针剂、灭菌精制滑石粉、50%葡萄糖维生素C气管炎菌苗链球菌激酶、OK432(链球菌制剂)等。其作用机制是通过生物、理化刺激,产生无菌变态反应性胸膜炎症,使两层胸膜粘连,胸膜腔闭锁,达到防治气胸的目的。胸腔注入粘连剂前,应有负压吸引闭式引流,务必使肺完全复张,为避免药物所致的剧烈胸痛,先注入适当利多卡因,让患者转动体位,使胸膜充分麻醉,15-20分钟后注入粘连剂。如四环素粉剂0.5-1g用生理盐水100ml 溶解,从引流管注入胸腔后,嘱患者反复转动体位,让药物均匀涂布胸膜(尤其是肺尖)夹管观察24小时(如有气胸症状随时开管排气),吸出胸腔内多余药物,若一次无效,可重复注药,观察2-3天,经透视或摄片证实气胸治愈,可拔除引流管。

(二)脓气胸 由金黄色葡萄球菌、肺炎杆菌、绿脓杆菌结核杆菌以及多种厌氧菌引起的坏死性肺炎、肺脓肿以及干酪性肺炎可并发脓气胸。病情多危重,常有支气管胸膜瘘形成。脓液中可找到病原菌,除适当应用抗生素(局部和全身)外,还应根据具体情况考虑外科治疗。

(三)血气胸 自发性气胸伴有胸膜腔内出血是由于胸膜粘连带内的血管被裂断。肺完全复张后,出血多能自行停止,若继缓出血不止,除抽气排液和适当输血外,应考虑开胸结扎出血的血管。

(四)纵隔气肿和皮下气肿 高压气胸抽气或安装闭式引流后,可沿针孔或切口出现胸壁皮下气肿。逸出的气体还蔓延至腹壁和上肢皮下。高压的气体进入肺间质,循血管鞘,经肺门进入纵隔,纵隔气体又可沿着筋膜而进入颈部皮下组织以及胸腹部皮下,X线片上可见到皮下和纵隔旁缘透明带,纵隔内大血管受压,病人感到胸骨后疼痛,气短和紫绀、血压降低、心浊音界缩小或消失、心音遥远、纵隔区可闻及粗的、与心搏同期的破裂音。

皮下气肿和纵隔气肿随着胸膜腔内气体排出减压而能自行吸收。吸入浓度较高的氧气可以加大纵隔内氧的浓度,有利于气肿的消散。纵隔气肿张力过高而影响呼吸和循环者,可作胸骨上窝穿刺或切开排气。  

诊断

突发一侧胸痛,伴有呼吸困难并有气胸体征,即可作出初步诊断。X线显示气胸征是确诊依据。在无条件或病情危重不允许作X线检查时,可在患侧胸腔积气体征最明确处试穿,抽气测压,若为正压且抽出气体,说明有气胸存在,即应抽出气体以缓解症状,并观察抽气后胸腔内压力的变化以判断气胸类型。在原有严重哮喘或肺气肿基础上并发气胸时,气急、胸闷等症状有时不易觉察,要与原先症状仔细比较。

一.病史及症状:可有或无用力增加胸腔、肤腔压力等诱因,多突然发病,主要症状为呼吸困难、患恻胸痛、刺激性干咳,张力性气胸者症状严重烦躁不安,可出现紫绀、多汗甚至休克

二.查体发现:少量或局限性气胸多无阳性体征。典型者气管向健侧移位,患侧胸廓饱满、呼吸动度减弱,扣诊呈过清音,呼吸音减弱或消失。左侧气胸并发纵隔气肿者,有时心前区可听到与心跳一致的吡啪音(Hamman征)。三.辅助检查:

(一)X线胸部检查:为最可靠诊断方法,可判断气胸程度、肺被压缩情况、有无纵隔气肿、胸腔积液等并发症

(二)其他检查:(1)血气分析,对肺压缩>20%者可出现低氧血症。(2)胸腔穿刺测压,有助判断气胸的类型。(3)胸腔镜检查:对慢性、反复发作的气胸,有助于弄清肺表面及胸膜病变情况。(4)血液学检查:无并发症时无阳性发现。


鉴别诊断

一、支气管哮喘阻塞性肺气肿 

有气急和呼吸困难,体征亦与自发性气胸相似,但肺气肿呼吸困难是长期缓慢加重的,支气管哮喘病人有多年哮喘反复发作史。当哮喘和肺气肿病人呼吸困难突然加重且有胸痛,应考虑并发气胸的可能,X线检查可以作出鉴别。

二、急性心肌梗塞

急性心肌梗塞

病人亦有急起胸痛、胸闷、甚至呼吸困难、休克等临床表现,但常有高血压动脉粥样硬化冠心病史。体征、心电图和X线胸透有助于诊断。

三、肺栓塞 

有胸痛、呼吸困难和紫绀等酷似自发性气胸的临床表现,但病人往往有咯血和低热,并常有下肢盆腔栓塞静脉炎骨折、严重心脏病心房纤颤等病史,或发生在长期卧床的老年患者。体检和X线检查有助于鉴别。

四、肺大疱 

位于肺周边部位的肺大疱有时在X线下被误为气胸。肺大疱可因先天发育形成,

肺大疱

也可因支气管内活瓣阻塞而形成张力性囊腔或巨型空腔,起病缓慢,气急不剧烈,从不同角度作胸部透视,可见肺大疱或支气管源囊肿为圆形或卵圆形透光区,在大疱的边缘看不到发线状气胸线,疱内有细小的条纹理,为肺小叶或血管的残遗物。肺大疱向周围膨胀,将肺压向肺尖区、肋膈角和心膈角,而气胸则呈胸外侧的透光带,其中无肺纹可见。肺大疱内压力与大气压相仿,抽气后,大疱容积无显著改变。

五、主动脉夹层 夹层分离突然发生时多数患者突感胸部疼痛,向胸前及背部放射,随夹层涉及范围而可以延至腹部、下肢、臂及颈部。疼痛剧烈难以忍受,起病后即达高峰,呈刀割或撕裂样。少数起病缓慢者疼痛可以不著。必须与气胸相鉴别。

其他如消化性溃疡穿孔膈疝胸膜炎和肺癌等,有时因急起的胸痛,上腹痛和气急等,亦应注意与自发性气胸鉴别。

第一、胸膜腔由胸膜壁层和脏层构成,是不含空气的密闭的潜在性腔隙,任何原因使胸膜破损,空气进入胸膜腔,称为气胸。最常见的气胸是因肺部疾病使肺组织和脏层胸膜破裂,或者靠近肺表面的肺大疱,细小气肿泡自行破裂,肺和支气管内空气逸入胸膜腔,称为自发性气胸。

第二、建议至医院就诊明确病因,例如是不是最常见的肺大疱引起,还是肺部其他疾病引起,病因治疗,以免延误病情。

第三、如果是肺大疱引起:

肺大疱先天性支气管发育异常,粘膜皱襞呈瓣膜状,软骨发育不良,引起活瓣作用所致。如果有胸闷、气短的症状,而且反复发作,建议手术治疗。如果没有任何症状可以观察,内科治疗。

病人的症状主要与大疱的数目、大小以及是否伴有炎症,肺大疱是否破裂密切相关。

首先、小范围的先天性肺大疱一般不会直接导致死亡。

但是、大范围的先天性肺大疱或者出现严重并发症时,有可能引起死亡。原因:

1、直接原因。巨大的肺大疱,因为气体交换困难,多有不同程度的呼吸困难,有的病人因而失去劳动力,甚至行动亦受到限制或者窒息可能。

2、间接原因。主要是出现并发症时。第一、先天性肺大疱绝大多数是不感染的,但如果感冒等原因引起肺部分泌物增多,引流肺大疱的支气管堵塞,肺大疱支气管内充满炎性分泌物,患者可出现发热、咳嗽、咳痰感染症状,严重时可以导致菌血症败血症、脓毒血症导致生命危险。第二、肺大疱引起的自发性血胸,多数由肺尖部的大疱或大疱周围的肺组织与胸顶粘连及粘连撕裂活动出血。由于肺、心脏、膈肌运动的去纤维化作用,胸腔内的血液不凝固,因此出血很难自动停止。临床症状可因出血的快慢而不同,出血缓慢时,患者可表现为逐渐加重的胸闷,呼吸困难,X线可见膈角变钝,或胸腔积液的抛物线影像。出血迅速时,短期内可以有休克表现。第三、大范围的先天性肺大疱导致机体长期处于气体交换困难,缺氧时,能导致能促使肺原性心脏病的发生,甚至多器官功能衰竭

3、先天性肺大疱破裂也可以危及生命。破裂时会并发自发性气胸,有突然胸痛,呼吸困难。若肺大疱破裂后形成活瓣,吸气时胸腔负压增高,气体进入胸腔,呼气时活瓣关闭,气体不能排出,尤其是咳嗽时,声门关闭气道压力增高,气体进入胸腔,声门开放后,气道压力减低,裂口又闭合,每一次呼吸和咳嗽都使胸腔内气体量增加,就形成张力性气胸。 张力性气胸时患侧肺组织完全萎缩,纵隔被推向健侧,在健侧肺组织亦被压缩的同时心脏大血管移位大静脉扭曲变形,影响血液回流,造成呼吸循环严重障碍。有可能出现很快的心肺功能衰竭,导致死亡。  

治疗

治疗原则在于根据气胸的不同类型适当进行排气,以解除胸腔积气对呼吸、循环所生成的障碍,使肺尽早复张,恢复功能,同时也要治疗并发症和原发病。

一.对症治疗:应卧床休息,给予吸氧,镇痛止咳,有感染时给予抗生素治疗。

二.胸腔减压:(1)闭合性气胸,肺压缩<20%者,单纯卧床休闲气胸即可自行吸收,肺压缩>20%症状明显者应胸腔穿刺抽气1/1~2d次,每次~800ml为宜。(2)开放性气胸,应用胸腔闭式引流排气,肺仍不能复张者,可加用负压持续吸引。(3)张力性气胸,病情较危急须尽快排气减压,同时准备立即行胸腔闭式引流或负压持续吸引。

三.手术治疗:对内科积极治疗肺仍不能复张,慢性气胸或有支气管胸膜瘘者可考虑手术治疗.反复发作性气胸可采用胸膜粘连术治疗。

四.积极治疗原发病和并发症。  

排气疗法

根据症状、体征、X线所见以有胸内测压结果,判断是何种类型气胸,是否需要即刻排气治疗,如需排气,采用何种方法适宜。

(一)闭合性气胸 闭合性气胸积气量少于该侧胸腔容积的20%时,气体可在2-3周内自行吸收,不需抽气,但应动态观察积气量变化。气量较多时,可每日或隔日抽气一次,每次抽气不超过1L,直至肺大部分复张,余下积气任其自行吸收。

(二)高压性气胸 病情急重,危及生命,必须尽快排气。可用气胸箱一面测压,一面进行排气。紧急时将消毒针头从患侧肋间隙插入胸膜腔,使高度正压胸内积气得以由此自行排出,缓解症状。紧急时,还可用大注射器接连三路开关抽气,或者经胸壁插针,尾端用胶管连接水封瓶引流,使高压气体得以单向排出。亦可用一粗注射针,在其尾部扎上橡皮指套,指套末端剪一小裂缝,插入气胸腔作临时简易排气,高压气体从小裂缝排出,待胸腔内压减至负压时,套囊即行塌陷,小裂缝关闭,外间空气不能进入胸膜腔。

为了有效地持续排气,通常安装胸腔闭式水封瓶引流。插管部位一般多取锁骨中线外侧第2肋间,或腋前线第4-5肋间。如果是局限性气胸,或是为了引流胸腔积液,则须在X线透视下选择适当部位进行插管排气引流。安装前,在选定部位先用气胸箱测压以了解气胸类型,然后在局麻下沿肋骨上缘平行作1.5-2cm皮肤切口,用套管针穿刺进入胸膜腔,拔去针蕊,通过套管将灭菌胶管插入胸腔。一般选用大号导尿管硅胶管,在其前端剪成鸭嘴状开口,并剪一二个侧孔,以利引流。亦可在切开皮肤后,经钝性分离肋间组织达胸膜,再穿破胸膜将导管直接送入胸膜腔内,导管固定后,另端置于水封瓶的水面下1-2cm,使胸膜腔内压力保持在1-2cmH2O以下,若胸腔内积气超过此正压,气体便会通过导管从水面逸出。

未见继续冒出气泡1-2天后,病人并不感气急,经透视或摄片见肺已全部复张时,可以拔除导管。有时虽见气泡冒出水面,但病人气急未能缓解,可能是由于导管不够通畅,或部分滑出胸膜腔,如果导管阻塞,则应更换。

若这种水封瓶引流仍不能使胸膜破口愈合,透视见肺脏持久不能复张,可选胸壁另处插管,或在原先通畅的引流管端加用负压吸引闭式引流装置。由于吸引机可能形成负压过大,用调压瓶可使负压不超过一0.8至-1.2kpa(-8至-12scmH2O),如果负压超过此限,则室内空气即由压力调节管进入调压瓶,因此病人胸腔所承受的吸引负压不会比-0.8至-1.2kpa(-8至-12cmH2O)更大,以免过大的负压吸引对肺造成损伤。

使用闭式负压吸引宜连续开动吸引机,但如12小时以上肺仍不复张时,应查找原因。若无气泡冒出,肺已完全复张,可夹注引流管,停止负压吸引,观察2-3天,如果透视证明气胸未再复发,便可拔除引流管,立即用凡士林纱布覆盖手术切口,以免外界空气进入。

不封瓶要放在低于病人胸部的地方(如病人床下),以免瓶内的水反流入胸腔,在用各式插管引流排气过程中注意严格消毒,以免发生感染。

(三)交通性气胸 积气量小且无明显呼吸困难者,在卧床休息并限制活动、或者安装水封瓶引流后,有时胸膜破口可能自行封闭而转变为闭合性气胸。如果呼吸困难明显,或慢阻肺病人肺功能不全者,可试用负压吸引,在肺复张过程中,破口也随之关闭,若是破口较大,或者因胸膜粘连牵扯而持续开启,病人症状明显,单纯排气措施不能奏效者,可经胸腔镜窥察,行粘连烙断术,促使破口关闭。若无禁忌,亦可考虑开胸修补破口。手术时用纱布擦拭壁层胸膜,可以促进术后胸膜粘连。若肺内原有明显病变,可考虑将受累肺脏作叶或肺段切除。  

其他治疗

自发性气胸病人肺脏萎缩,影响气体交换,形成右到左分流,血氧饱和度下降,肺泡-动脉血氧分压增大。但后来由于萎缩的肺的血流量减少,右向左分流得以纠正,氧饱和度很快得以恢复,由于气胸的存在,出现限制性通气功能障碍肺活量以及其它肺容量减少,严重者可出现呼吸衰竭。要根据病人情况,适当给氧,并治疗原发病。防治胸腔感染以及镇咳祛痰、镇痛、休息、支持疗法也应予以重视。

对于月经性气胸,除排气治疗外,可加用抑制卵巢功能的药物(如黄体酮),以阻止排卵过程。  

预防

去除病因才是最好的预防,按照目前气胸治疗现状来看,肺大泡切除术及胸膜粘连术,前者最大限度的去除肺漏气的可能,后者在再次肺漏气时保证大部分肺组织不至于萎缩,所以最好的预防在于正确的治疗。

天气寒冷会刺激呼吸道炎症加重,多个肺泡破裂形成肺大泡,肺大泡再破裂就容易把肺冲出一个洞,导致气体漏入胸腔,形成气胸。长期患严重呼吸道疾病的老年患者在冬天应特别注意。

术后康复应该注意哪些事项?

左教授说对于曾经患有气胸的患者以下注意事项对预防复发有好处:

1.应在舒适安静的环境下卧床休息。

2.避免用力和屏气动作。

3.戒烟。

4.气胸出院后3到6个月不要做牵拉动作,廓胸运动,以防诱发气胸。

5.预防上呼吸道感染,避免剧烈咳嗽。

6. 增加营养,强健体质。

气胸患者如何乘飞机

气胸患者应该谨慎乘机。对于张力性气胸(裂孔呈单向活瓣作用,吸气时空气进入胸膜腔;呼气时,空气滞积于胸膜腔内,胸内压急剧上升,患者肺脏大面积受压,纵隔移位,循环也受影响出现障碍,甚至出现生命危险)、开放性气胸(裂孔持续开发,空气自由进出胸膜腔,胸内压接近大气压。在乘机时,裂孔在气压降低等因素变化的情况下,有可能变化呈现为单向活瓣作用,转变为张力性气胸),以及较大面积的闭和性气胸(单侧肺脏受压缩超过三分),都不能够乘坐飞机。即使对于胸膜腔内有少量气体(在三分以内)的患者来说,如果要乘坐飞机,最好也有医护人员的陪同,并采取相应救护措施的情况下才能够安全乘机。

对于气胸患者来说,必须进行妥善的治疗,成功排除气体,使肺复张,并在可以确保气胸不在复发的情况下,方能够安全选择航空旅行。  

自发性气胸的注意事项

1、急性期应绝对卧床休息。

2、保持情绪稳定,要将自己的内心感受告知给医生护士。

3、根据您的病情,医生决定是否进行胸腔穿刺、排气或闭式引流,这是治疗自发性气胸的一项有效的治疗措施,要了解其目的,消除紧张情绪,配合治疗。

4、在治疗过程中,如出现呼吸困难加重情形,请立即通知医生或护士。

5、饮食上进食蔬菜,水果等易消化食物,避免便秘的发生。

6、进行胸腔闭式引流时,不要自行挤压,扭曲引流管,同时在床上活动时,避免牵拉引流管,要防止扭曲移位或脱落。

7、在闭式引流过程中,如必须离开病床进行检查或允许范围内的室内活动时,请与护士联系,在护士的协助及处置后再行离床活动

8、在气胸痊愈的一个月内,不要剧烈运动。如打球,跑步。

9、避免诱发气胸的因素,如抬提重物,剧烈咳嗽,屏气等,防止便秘,同时戒烟。

参看

参考文献

  • 《实用内科学》第13版.陈灏珠、林果为主编
  • 《呼吸内科学》钟南山主编