嗜碱性粒细胞
来自医学百科
①嗜碱性粒细胞简介与作用
简介
嗜碱性粒细胞 这类细胞的颗粒内含有组织胺、肝素和过敏性慢反应物质等。肝素有抗凝血作用,组织胺可改变毛细血管的通透性。过敏性慢反应物质是一种脂类分子,能引起平滑肌收缩。机体发生过敏反应与这些物质有关。嗜碱性细胞在结缔组织和粘膜上皮内时,称肥大细胞,其结构和功能与嗜碱性细胞相似。
特点
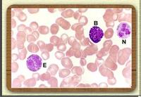
嗜碱性粒细胞(B)的突出特点是胞质内含粗大、大小分布不均、染成蓝紫色的嗜碱性颗粒。颗粒可覆盖在细胞核上,因之细胞核虽亦呈分叶状,但常不清楚。嗜碱性颗粒的特点与肥大细胞的颗粒相似,但两种细胞的关系尚待研究。图为比较嗜
碱性粒细胞(B)与中性粒细胞(N)和嗜酸性粒细胞(E)颗粒的区别。
②嗜碱性粒细胞参考
正常参考值
全屏显示该表格 百分值 0~0.01 或(0%—1%)
绝对值 0~0.1 109/L
异常结果分析
嗜碱性粒细胞增高:
嗜碱性粒细胞白血病(罕见)、慢性粒细胞性白血病常伴有嗜碱性粒细胞增高,骨髓纤维化症、慢性溶血及脾切除后也可见嗜碱性粒细胞增高。
嗜碱性粒细胞减少:嗜碱性粒细胞在外周血中参考值很低,故其减少无临床意义。
③特殊细胞——嗜碱性点彩红细胞
简介
此种细胞属于尚未完全成熟的红细胞,正常人血片中极少见到。在红细胞再生加速,且有紊乱现象时,可能因为胞浆中的核糖体发生聚集变性后着色所致。
计数
Baso-philicstipplingerythrocyte count
正常参考值
0~0.0001 或(0.01%)
异常结果分析
增高:见于铅、汞、银、铋等金属中毒及苯胺、硝基苯等中毒时,溶血性贫血、巨幼红细胞性贫血、恶性肿瘤等
| ||||||||||||||
