血小板

来自医学百科

血小板(blood platelet)是哺乳动物血液中的有形成分之一。形状不规则,比红细胞白细胞小得多,无细胞核,成年人血液中血小板数量为100~300×1000000000个/L,它有质膜,没有细胞核结构,一般呈圆形,体积小于红细胞和白细胞。血小板在长期内被看作是血液中的无功能的细胞碎片。血小板具有特定的形态结构和生化组成,在正常血液中有较恒定的数量(如人的血小板数为每立方毫米~30万),在止血、伤口愈合、炎症反应血栓形成器官移植排斥等生理病理过程中有重要作用。血小板只存在于哺乳动物血液中。

Bkhog.jpg

  

血小板的概念

直到1882年意大利医师J.B.比佐泽罗发现它们在血管损伤后的止血过程中起着重要作用,才首次提出血小板的命名。

血小板

低等脊椎动物圆口纲有纺锤细胞起凝血作用,鱼纲开始有特定的血栓细胞。两栖、爬行和鸟纲动物血液中都有血栓细胞,血栓细胞是有细胞核的梭形成椭圆形细胞,功能与血小板相似。无脊椎动物没有专一的血栓细胞,如软体动物的变形细胞兼有防御和创伤治愈作用。甲壳动物只有一种血细胞,兼有凝血作用。

血小板为圆盘形,直径1~4微米到7一8微米不等,且个体差异很大(5~12立方微米)。血小板因能运动和变形,故用一般方法观察时表现为多形态。血小板结构复杂,简言之,由外向内为3层结构,即由外膜、单元膜及膜下微丝结构组成的外围为第1层;第2层为凝胶层,电镜下见到与周围平行的微丝及微管构造;第3层为微器官层,有线粒体、致密小体、残核等结构。

血小板正常值:(100到300)*10^9/L.  

血小板的生成

骨髓造血组织中的巨核细胞产生。多功能造血干细胞在造血组织中经过定向分化形成原始的巨核细胞,又进一步成为成熟的巨核细胞。 成熟的巨核 细胞膜表面形成许多凹陷,伸入胞质之中,相邻的凹陷细胞膜在凹陷深部相互融合,使巨核细胞部分胞质与母体分开。最后这些被细胞膜包围的与巨核细胞胞质分离开的成分脱离巨核细胞,经过骨髓造血组织中的血窦进入血液循环成为血小板。新生成的血小板先通过脾脏,约有1/3在此贮存。贮存的血小板可与进入循环血中的血小板自由交换,以维持血中的正常量。每个巨核细胞产生血小板的数量每立方毫米大约200~8000,一般认为血小板的生成受血液中的血小板生成素调节,但其详细过程和机制尚不清楚。血小板寿命约7~14天,每天约更新总量的1/10,衰老的血小板大多在脾脏中被清除。  

血小板的功能

血小板的功能主要是促进止血和加速凝血,同时血小板还有维护毛细血管壁完整性的功能。 血小板在止血和凝血过程中,具有形成血栓,堵塞创口,释放与凝血有关的各种因子等功能。在小血管破裂处,血小板聚集成血小板栓,堵住破裂口,并释放肾上腺素, 5-羟色胺等具有收缩血管作用的物质,是促进血液凝固的重要因子之一。 血小板还有营养和支持毛细血管内皮细胞的作用,使毛细血管的脆性减少。

血小板数量、质量异常可引起出血疾病。数量减少见于血小板减少性紫癜脾功能亢进再生障碍性贫血白血病等症。数量增多见于原发性血小板增多症真性红细胞增多症病症。质量异常可见于血小板无力症

20世纪60年代以来已确证血小板有吞噬病毒细菌和其他颗粒物的功能。血小板因能吞噬病毒而引人注目,在血小板内没有核遗传物质,被血小板吞噬的病毒将失去增殖的可能。临床上也见到患病毒性疾病时总出现血小板减少症。因此血小板有可能与皮肤, 粘膜和白细胞一样是构成机体对抗病毒的一道防线。  

形态及其结构

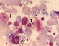
血小板描述:细胞碎片,体积很小,形状不规则,常成群分布在红细胞之间。

红细胞与血小板

循环血中正常状态的血小板呈两面微凹、椭圆形或圆盘形,叫做循环型血小板。人的血小板平均直径约2~4微米,厚0.5~1.5微米,平均体积7立方微米。血小板虽无细胞核,但有细胞器,此外,内部还有散在分布的颗粒成分。血小板一旦与创伤面或玻璃等非血管内膜表面接触,即迅速扩展,颗粒向中央集中,并伸出多个伪足,变成树突型血小板,大部分颗粒随即释放,血小板之间融合,成为粘性变形血小板。树突型血小板如及时消除其刺激因素还能变成循环型血小板,粘性变形的血小板则为不可逆转的改变。血小板有复杂的结构和组成。血小板膜是附着或镶嵌有蛋白质分子层脂膜,膜中含有多种糖蛋白,已知糖蛋白Ⅰb与粘附作用有关,糖蛋白Ⅱb/Ⅲa与聚集作用有关,糖蛋白Ⅴ是凝血酶受体。血小板膜外附有由血浆蛋白凝血因子和与纤维蛋白溶解系统有关分子组成的血浆层(血小板的外覆被)。血小板胞浆中有两种管道系统:与表面相连的开放管道系统和致密管系统。前者是血小板膜内陷在胞浆中形成的错综分布的管道系统,管道的膜与血小板膜相连续,管道膜内表面也有与血小板膜一样的外覆层,通过此管道系统,血浆可以进入血小板内部,从而扩大了血小板与血浆的接触面积,由于存在这套与表面相连的发达的管道系统,使血小板形成与海绵相似的结构;后者即致密管系统的管道细而短,与外界不通,相当内质网。血小板周缘的血小板膜下有十几层平行作环状排列的微管,近血小板膜处还有较密的微丝(肌动蛋白)和肌球蛋白,它们与血小板的形态的维持及变形运动有关。血小板内散在着两种颗粒:α颗粒和致密颗粒。α颗粒内容物是中等电子密度,有的颗粒中央还有电子密度较高的芯。α颗粒中含纤维蛋白原、血小板第4因子、组织蛋白酶A、组织蛋白酶D、酸性水解酶等。致密颗粒内容物电子密度极高,含有5-羟色胺、ADP、ATP、钙离子、肾上腺素、抗血纤维蛋白酶焦磷酸等。另外,在血小板中还存在有线粒体、糖原颗粒等。  

血小板与生理功能

异常状态下的血小板

血栓形成和溶解当血管破损时,血小板受到损伤部位激活因素刺激出现血小板的聚集,成为血小板凝块,起到初级止血作用,接着血小板又经过复杂的变化产生凝血酶,使邻近血浆中的纤维蛋白原变为纤维蛋白,互相交织的纤维蛋白使血小板凝块与血细胞缠结成血凝块,即血栓(见凝血因子)。同时血小板的突起伸入纤维蛋白网内,随着血小板微丝(肌动蛋白)和肌球蛋白的收缩,使血凝块收缩,血栓变得更坚实,能更有效地起止血作用,这是二级的止血作用。伴随着血栓的形成,血小板释放血栓烷A2;致密颗粒和α颗粒通过与表面相连管道系统释放ADP、5-羟色胺、血小板第4因子、β血栓球蛋白凝血酶敏感蛋白细胞生长因子、血液凝固因子Ⅴ、Ⅶ、Ⅻ和血管通透因子等多种活性物质,这些活性物质通过激活周围血小板,促进血管收缩,促纤维蛋白形成等多种方式加强止血而有些效果。物质则可加强损伤部位的炎症免疫反应

当血管损伤部位血栓形成,血液停止流失以后需要防止血栓的无限增大,避免由此而产生的血管阻塞。此时,由血小板所产生的5-羟色胺等对血管内皮细胞起作用,使其释放纤维蛋白溶酶原激活因子,促使纤维蛋白溶酶形成,进而使血栓中的纤维蛋白溶解。血小板本身也有纤维蛋白溶酶原激活因子与纤维蛋白溶酶原,产生纤维蛋白溶酶参与血栓中纤维蛋白的再溶解。  

血小板与血管内皮细胞

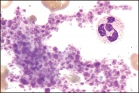
显微镜下的血小板

血液在血管中迅速流动有时会损伤血管壁,血小板可从流动状态转而附在内皮细胞表面,两者之间的细胞膜消失,细胞质相互融合,从而使内皮细胞得到修复。

血小板粘附、释放及聚集的机制 血小板表面有许多不同受体,这些受体与相应的配体结合,即被激活。当血管内皮细胞受损时,内皮下组织中的Ⅰ型和Ⅲ型胶原暴露,两者中有一9结构的活性部位。从这一活性部位通过VWF因子与血小板膜上的受体糖蛋白1b连接,实现了血小板与损伤部位的粘附。血小板激活后,环状的微管向内凹曲。血小板出现放射状的突起,其中出现与其长轴一致的微丝、微管。颗粒向血小板中心部集中,并靠近与表面相连的管道系统。血小板由循环型变为树突型。在光学显微镜血涂片上所见的血小板,如分为中央的颗粒区与周缘的透明区,就是处于这一阶段的特征。

粘附的血小板开始释放其内容物,随着血小板形态的变化,血小板细胞膜的脂质双分子层的磷脂分子中的花生四烯酸游离出来,进而受血小板膜上酶的作用,形成血栓素A2等。血小板颗粒内含物的释放不是同时进行的。由致密颗粒释放ADP、5-羟色胺的反应出现得快。α颗粒则随其内含物不同,释放迟早不同;含血小板第4因子、β血栓球蛋白等成分的α颗粒先释放,含酸性水解酶的颗粒(相当于溶酶体)后释放。释放是需能过程。膜上的钙泵将Ca2+泵入血小板内,激活ATP酶,最后引起血小板收缩,导致血小板内颗粒的释放。

血小板之间的相互粘附叫做聚集。ADP、肾上腺素、凝血酶和胶原等都是血小板的致聚剂。不同的致聚剂引起的聚集过程表现有所不同。如加入ADP可直接引起血小板聚集,而聚集的血小板释放的ADP可以再次引起新的血小板聚集。从而可以出现两个聚集波。胶原本身不能直接引起血小板聚集,只能在诱导血小板释放ADP后引起。聚集发生的机制至今已知有花生四烯酸途径,致密颗粒途径和血小板激活因子途径,已知不少因素如Ca2+和纤维蛋白原都与血小板的聚集有关。激活的血小板中,血小板膜里的花生四烯酸游离出来,最后在不同酶的作用下,形成血栓烷A2(TXA2)。血栓烷A2是迄今已知的最强的致聚剂,而内皮细胞释放的前列腺素I2(PGI2)可通过激活腺苷酸环化酶使环腺苷酸(cAMP)水平升高,抑制血小板聚集。

哺乳动物血小板存在着种属间的差异。如兔血小板致密颗粒中,除5-羟色胺外还含有组胺,人的血小板对致聚剂ADP、凝血酶等均无反应。兔、大鼠、小鼠、猪、羊、马对肾上腺素无反应。在5-羟色胺含量、对聚集抑制剂的反应性等方面也有种属差异。

随着生物和医学的发展,细胞的粘附成为细胞生物学中的重要课题之一。研究血小板粘附、聚集可望使这一课题取得新进展,血小板也是理想的神经药理学的模型。血小板的收缩与松弛和骨骼肌的活动有类似之处。  

血小板的功效

巨大血小板

血液受损伤流血时,发生止血和凝血效应的机制有多种,但大都与血小板的作用有关系, 归纳起来有如下几个方面:  

1、收缩血管,有助于暂时止血

血小板的止血作用,是通过其释放的血管收缩物质、血小板粘聚成团堵塞损伤的血管和促进凝血实现的。

血小板能释放5-羟色胺,儿茶酚按等血管收缩素,使受损伤血管不同程度地紧闭,同时管内血流量减少,防止血液流失。  

.2、形成止血栓,堵塞血管破裂口

血小板容易粘附和沉积在受损血管所暴露出来的胶原纤维上, 聚集成团,形成止血栓;血栓直接堵塞在血管裂口处,除了起栓堵作用外,还可维护血管壁的完整性。  

.3、血小板的凝血作用

释放促使血液凝固的物质,在血管破裂处加速形成凝血块

血小板的凝血作用:血小板3因子提供磷脂表面吸附大部分凝血因子,增加凝血反应速度。

受到损伤的血管或组织处于产生一些因子,启动内源性和外源性血凝系统,在血小板所释放的不同因子的综合作用下,数分钟内完成了一系列酶促生化连锁反应,最终导致血浆内可溶性的纤维蛋白原转变成不溶性的纤维蛋白。纤维蛋白原分子量约34万,电镜下观察数条肽链形成螺旋盘曲的四级结构,整体上看呈团状。纤维蛋白则是细长丝状,并相互交织成网,因而把血细胞网罗起来,形成冻胶状的血凝块。  

.4、释放抗纤溶因子, 抑制纤溶系统的活动

血浆中的纤维蛋白在纤溶系统的作用下,容易降解。由于血小板含有抗纤溶因子、抑制了纤溶系统的活动, 使形成的血凝块不至于崩溃。  

.5、营养和支持毛细血管内皮

.6、促进血液循环

血小板是血液中体积最小的血细胞,正常人血液中计数为100×109/升一300×109/升,占血液体积的0.3%,妇女在月经期可减少50%~75%,幼儿含量稍低。血小板约2/3在末梢血循环中,l/3在脾脏中,并在两者之间相互交换。  

血小板减少症中药方中药处方(一)

辨证】风火热毒,伤其血络,营血瘀滞,淫于腠。

【治法】清热凉血滋阴解毒

【方名】犀角地黄汤加味。

【组成】犀角3克,生地30克,丹皮10克,赤芍10克,白薇10克,紫草10克,知母10克,沙参10克,生槐花30克,大青叶10克,板蓝根15克。

【用法】水煎服,每日剂,日服2次。

【出处】谭家兴方。

中药处方(二)

【辨证】脾阴虚,血燥,阴虚内热热伤络脉则血外溢。

【治法】养阴益脾,润燥,佐以清热,化斑。

【方名】加味脾阴煎。

【组成】生地10克,生白芍30克,旱莲草15克,山药20克,莲米15克,连翘10克,赤小豆30克,黄连6克,淡竹叶10克,五味子10克,枣皮10克,大枣10个,炙甘草10克。

【用法】水煎服,每日剂,日服2次。

【出处】袁尊山方。

中药处方(三)

【辨证】血瘀于肌腠

【治法】活血化瘀,佐以补脾滋肾。

【方名】加减紫癜方。

【组成】鸡血藤15克,丹皮15克,茜草15克,当归15克,大枣10克,茅根15克,旱莲草20克,三七粉5克(冲服),仙鹤草20克,山栀15克。

【用法】水煎服,每日1次,日服2次。

【出处】孙伟正方  

血小板减少

疾病简介

血小板疾病是由于血小板数量减少(血小板减少症)或功能减退(血小板功能不全)导致止血栓形成不良和出血而引起的. 血小板数低于正常范围14万~40万/μl. 血小板减少症可能源于血小板产生不足,脾脏对血小板的阻留,血小板破坏或利用增加以及被稀释(表133-1).无论何种原因所致的严重血小板减少,都可引起典型的出血:多发性瘀斑,最常见于小腿;或在受轻微外伤的部位出现小的散在性瘀斑;粘膜出血(鼻出血,胃肠道和泌尿生殖道和阴道出血);和手术后大量出血.胃肠道大量出血和中枢神经系统内出血可危及生命.然而血小板减少症不会像继发于凝血性疾病,那样表现出组织内出血(如深部内脏血肿关节积血).

也可能因遗传导致.男性发病,女性携带.(WAS 综合征)  

血小板减少与白血病的区别:

血小板减少性紫癜病的典型症状表现为出血,在发病前期,皮肤会出现针扎样红点,之后会发展成块状血小板减少性紫癜,紫癜的大小不等,小的如黄豆粒,大的能达到手掌那么大。

出现血小板减少性紫癜的部位一般在体表皮肤比较松弛的部位,如颈部、眼睛周围、下肢等,并伴有肿痛,严重的会在口腔黏膜部位出现紫斑。血液中正常血小板数量为30万/立方毫米,患病时可减少到4万~5万,当血小板数量降至2万时,患者就有可能出现消化道出血颅内出血血尿等,危及生命。

血小板减少性紫癜病跟白血病的一些症状相似,有些患者认为血小板减少性紫癜病就是种白血病,心理压力很大,其实完全没有必要。专家解释,目前认为紫癜病是因为单纯的血小板减少使凝血功能出现异常,而血小板减少和凝血功能异常只是白血病的症状之一,白血病患者体内的白细胞、红细胞等都不正常,它们完全是两码事。

参看

血液
白血病白血球
淋巴系统: 淋巴性白血病 (急性, 慢性) | 淋巴瘤 (霍奇金淋巴瘤, 非霍奇金淋巴瘤) | 淋巴增生 | 骨髓癌 (多发性骨髓癌, 质浆细胞瘤)
骨髓: 骨髓性白血病 (急性, 慢性) | 骨髓增殖性疾病 (原发性血小板增多症, 红血球增多症) | 骨髓成形不良症候群 | 骨髓纤维化 | 嗜中性白血球过低症
红血球
贫血 | 血色病 | 镰状细胞贫血 | 地中海贫血 | 溶血性贫血 | 再生不良性贫血 | 蚕豆症 | 遗传性球形红细胞增多症 | 遗传性椭圆形红血球增多症 | 其他血红蛋白病
凝血因子血小板
血栓形成 | 深静脉血栓形成 | 肺栓塞 | 血友病 | 自发性血小板缺乏紫斑症 | 血栓性血小板缺乏紫斑症 | 弥散性血管内凝血