医学影像学/肺肿瘤

来自医学百科
112.247.67.26讨论2014年2月5日 (三) 15:38的版本 (以“{{Hierarchy header}} 肺肿瘤分原发性与转移性两类。原发性肿瘤又分良性及恶性。良性肺肿瘤少见。恶性肺肿瘤中98%为原...”为内容创建页面)
(差异) ←上一版本 | 最后版本 (差异) | 下一版本→ (差异)

肺肿瘤分原发性与转移性两类。原发性肿瘤又分良性及恶性。良性肺肿瘤少见。恶性肺肿瘤中98%为原发性支气管肺癌(primary bronchogenic carcinomaof lung)。少数为肺肉瘤

1.原发性支气管肺癌 癌起源于支气管上皮、腺体或细支气管肺泡上皮。组织学上可分为鳞癌未分化癌腺癌细支气管肺泡癌

鳞癌为最常见的组织类型,约占肺癌的45~50%,多发生在肺段支气管以上较大的支气管。90%发生于男性。肿瘤中心易发生坏死。生长慢,转移晚。

未分化癌占肺癌的40%,男性多见。发病年龄较轻,可在40岁以下。生长快,转移早。

腺癌占肺癌的10%,男女发病率接近。多发生在外围小支气管。早期可发生淋巴、血行及胸膜转移。

细支气管肺泡癌少见,占肺癌的2%~5%,女性略多。肿瘤发展速度相差悬殊,某些病例发展迅速,可在数月内死亡,某些病例病程可长达数年。

按照肺癌发生的部位可以分为三型:即①中心型,系指发生于主支气管肺叶支气管及肺段支气管的肺癌;②外围型,系指发生于肺段以下支气管直到细支气以上的肺癌;③细支气管肺泡癌,系指发生于细支气管或肺泡上皮的肺癌。这种以起源部位的分型尚不统一,有人主张将发生于肺段支气管的肺癌划归外围型,有人则主张将其分出,称为肺段型或中间型。

不同部位的肺癌可有以下几种生长方式:①管内型:癌瘤自支气管粘膜表面向管腔内生长,形成息肉或菜花样肿块。逐渐引起支气管阻塞;②管壁型:癌瘤沿支气管壁浸润生长。有时侵犯管壁较浅,使管壁轻度增厚,管腔轻微狭窄。也可侵及管壁全层,使管壁增厚呈结节状,管腔明显狭窄或阻塞;③管外型:癌瘤穿透支气管壁向外生长,主要在肺内形成肿块,支气管穿行于肿块中。以上三型多为中心型肺癌的生长方式;④肺段以下较小支气管的肺癌,由于管壁结构薄弱,很易侵入肺内或通过局部淋巴管的播散在肺小叶内生长,形成肿块。肿块可为结节分叶状或为边缘清楚或毛糙的球形肿块;⑤细支气管或肺泡上皮的肺癌,初期癌瘤可沿肺泡壁生长,形成孤立结节状肿块。晚期癌瘤可经支气管及淋巴管播散,而形成弥漫性肺炎样或粟粒状癌灶。

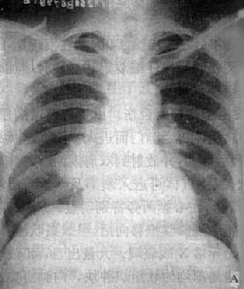
右肺中心型肺癌伴肺门淋巴结转移


右肺中心型肺癌伴肺门淋巴结转移


右肺中心型肺癌伴肺门淋巴结转移


图3-1-24 右肺中心型肺癌伴肺门淋巴结转移

A.后前位 B.右侧位 C.侧位体层像

右肺门区可见圆形肿块影,边界清楚

体层摄影示肿块影边界不规则(→),

并见增大淋巴结向支气管突入

肺癌的临床表现取决于组织类型、发生部位及发展情况。早期可无症状体征。有时是在查体中偶然被发现。症变发展可出现咳嗽咯血胸痛咳痰呼吸困难等症状。

中心型肺癌常引起支气管阻塞症状,并发感染后则有发热咳脓痰等症状。如果转移至纵隔淋巴结,则可发生上腔静脉梗阻综合征,表现为气短和颈胸部静脉怒张。也可引起喉返神经膈神经麻痹,常见于未分化癌。肿瘤蔓延至胸膜时,可发生胸痛和血性胸腔积液肺泡癌弥散发展,常咳大量泡沫痰。发生于肺尖部位的肺癌称肺尖癌(pancoast瘤),可以侵蚀邻近椎体或肋骨,并可压迫臂丛神经而引起同侧臂痛,压迫颈部交感神经而引起Horner综合征即同侧眼睑下垂、瞳孔缩小眼球下陷。还可以发生肺外症状,如许状指和肺性肥大性骨关节病(以鳞癌及腺癌多见)及内分泌症状如Cushing综合征(小细胞未分化癌多见)、甲状旁腺功能亢进等症状。内分泌症状的产生是由于不同类型的肺癌细胞分泌不同类似激素的物质而引起的。

X线表现因肿瘤发生部位而不同:

(1)中心型肺癌:肺癌早期局限于粘膜内,可无异常发现。病变发展,使管腔狭窄先引起肺叶或一侧肺的阻塞性肺气肿,但在实际工作中难于发现。不少患者由于支气管狭窄引流不畅而发生阻塞性肺炎,表现为相应部位反复发作、吸收缓慢的炎性实变。继而癌瘤可将支气管完全阻塞而引起肺不张。肺不张的范围取决于肿瘤的部位。如肿瘤同时向腔外生长或(和)伴有肺门淋巴结转移时,则可在肺门形成肿块(图3-1-27)。发生于右上叶支气管的肺癌,肺门部的肿块和右肺上叶不张连在一起可形成横行“S”状的下缘(图3-1-28)。有时肺癌发展迅速、较大,其中心可发生坏死而形成空洞,多见于鳞癌,表现为内壁不规则的偏心性空洞。

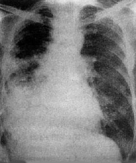
右上叶支气管肺癌


右上叶支气管肺癌


图3-1-28 右上叶支气管肺癌(中心型)

A.后前位B.前后位体层像右上叶密度均匀增高,下缘清楚、上突,

与肺门肿块影形成似横置S状。体层像示肿块突入右支气管腔内

体层摄影或支气管造影对中心型肺癌的诊断有重要意义,支气管有以下几种改变(图3-1-29):①支气管内息肉样充盈缺损或软组织影;②支气管壁不规则增厚,管腔呈环状或不规则的狭窄;③管壁增厚,管腔呈锥状或鼠尾状狭窄及阻塞;④管壁明显增厚,管腔变窄,呈截断现象,断端平直或呈杯口状。

(2)外围型肺癌:早期较小,直径多在2cm以下。表现为密度较高、轮廓模糊的结节状或球形病灶,有时表现为肺炎样小片状浸润,密度可不均匀。癌瘤逐渐发展,结节状癌灶由于生长速度不均衡以及局部淋巴播散灶的融合,可形成分叶状肿块(图3-1-12);球形病灶如生长均衡,则可形成边缘较光滑的肿块;如呈浸润性生长则边缘毛糙常有短细毛剌(图3-1-30)。毛剌的形成与肿瘤浸润及癌性淋巴管炎有关。生长快而较大的肿块,边缘可锐利光滑,但中心可以坏死而发生空洞。

中心型肺癌支气管狭窄、阻塞的支气管造影或体层摄影表现


中心型肺癌支气管狭窄、阻塞的支气管造影或体层摄影表现


中心型肺癌支气管狭窄、阻塞的支气管造影或体层摄影表现


中心型肺癌支气管狭窄、阻塞的支气管造影或体层摄影表现


中心型肺癌支气管狭窄、阻塞的支气管造影或体层摄影表现


图3-1-29 中心型肺癌支气管狭窄、阻塞的支气管造影或体层摄影表现

左肺外围型肺癌


图3-1-30 左肺外围型肺癌

体层摄影,左肺野可见圆形病灶, 边缘毛糙,有毛刺

肺泡癌


图3-1-31 肺泡癌

两肺出现大小不等多发小结节影,右中下肺野病灶融合成一片致密影肋膈角及膈均不见,指明有胸腔积液

(3)细支气管肺泡癌:早期可表现为孤立的结节状或肺炎样浸润影,其中可见含气的支气管或小的透明区,透明区系由于部分肺泡尚含有空气所致。晚期可表现为弥漫性病变,在一肺或两肺出现大小不等、境界不清的结节状或斑片状影,为腺泡结节状占位病变(图3-1-31)。进一步发展,这些病灶可以融合成大片絮状影,形成癌性实变。

(4)肺癌转移:多数肺癌首先转移至肺门和纵隔淋巴结,表现为肺门增大及纵隔旁肿块。中心型肺癌,有时原发癌与肺门转移淋巴结混在一起形成较大的肿块,易误为纵隔肿瘤。纵隔淋巴转移也可间接表现为气管,支气管的移位、食管受压、膈升高及予盾运动等。胸膜转移表现为胸腔积液。当大量积液与肺不张同时存在时,表现为一侧肺野密度增高,但无纵隔向健侧移位,也无肋间隙增宽,因为肺不张的牵引力与大量积液的推力相抵消。肺癌也可发生肺的转移,于肺野出现多发圆形致密影。沿淋巴管转移时,肺内可出理网状结节影。肺癌转移或直接蔓延至骨性胸廓,可发生胸骨、肋骨、锁骨胸椎的破坏或病理骨折。还可通过血行转移至其他脏器。

肺癌的生长速度:在动态观察中常以肿瘤的倍增时间(doubling time)即肿瘤体积增长一倍所需的时间说明肿瘤生长的速度。对判断肿瘤良恶性有一定帮助。倍增时间少于30天者多为非癌性病变。肺癌的倍增进间平均为78~88天。若没有转移。当倍增时间大于60天时,预后较佳。如大于100天则的手术后5年生存率较高,手术切除率较大,反之,少于60天,则预后较差。

2.转移性肿瘤 人体许多部位的恶性肿瘤可以经血行、淋巴或由邻近器官直接蔓延等途径转移至肺部。所以在恶性肿瘤的诊断与治疗中,肺部X线检查被列为常规。发生在肺部转移的肿瘤依次为绒癌乳癌肝癌胃癌骨肉瘤甲状腺癌肾癌前列腺癌睾丸癌肾胚胎瘤等。肺转移瘤的临床表现不一,多数患者因原发瘤已发展至晚期而以原发瘤的表现为主。常伴恶病质。某些患者可毫无呼吸道症状而在常规检查时发现。也有时原发瘤尚未被发现而已有肺部转移。有时原发瘤手术切除后数年又发生肺转移。肺转移瘤可引起咳嗽、胸痛、咯血和呼吸困难等症状。偶可引起自发性气胸。绒癌转移最易引起咯血,淋巴转移常有明显的呼吸困难。

血行转移:肿瘤细胞可经静脉回流至右心而发生肺转移。多表现为多发球形病变,密度均匀、大小不一、轮廓清楚似棉球状。以两肺中、下野外带较多,也可局限于一侧肺野。少数可为单发球形灶,应结合临床同原发性肺癌鉴别。血供丰富的原发瘤可以发生粟粒状转移表现为中、下肺野较多的粟粒状病灶,也可表现为多数小片状浸润,类似支气管肺炎。某些肺转移瘤中可以发生薄壁或厚壁空洞。骨肉瘤的转移瘤中可以出现钙化骨化

淋巴转移:系肺门及纵隔淋巴结的转移瘤逆行播散至肺内淋巴管,多发生于胃癌和乳癌。表现为两肺门或(和)纵隔淋巴结增大。自肺门向外呈放射状分布的索条状影,沿索条状影可见微细的串珠状小的致密点状影。肺外带纹理常呈网状。也可与血行转移并存。

邻近器官恶性肿瘤直接侵犯肺部:纵隔、胸膜和胸壁组织的恶性肿瘤,可直接蔓延至肺部,出现大小不等的转移灶。