病理学/局灶性节段性肾小球硬化

来自医学百科

局灶性节段性肾小球硬化(focal segmental glomeralosclerosis)病变为局灶性,节段性,仅累及少数或部分肾小球。病变的肾小球毛细血管丛呈节段性硬化,是引起肾病综合征常见的原因之一。多见于儿童和青年人。此型肾炎病变为进行性,病人对激素治疗效果不理想。多继续发展为弥漫性硬化性肾小球肾炎。

病理变化】

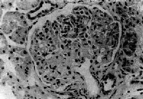
病变为局灶性,往往从肾皮质深部近髓质部分的少数肾小球开始。早期仅少数肾小球受累,其他肾小球无明显病变或病变轻微。病变的肾小球毛细血管丛的部分毛细血管萎陷,系膜增宽、硬化、玻璃样变(图12-21)。系膜内和毛细血管内常有脂滴和玻璃样物质沉积。有时可见吞噬脂类的泡沫细胞聚积。电镜下可见硬化部分毛细血管基底膜皱缩,厚薄不均匀。其间可见电子致密物和脂滴沉积。上皮细胞足突消失。免疫荧光检查可见病变肾小球内有免疫球蛋白补体沉积,主要为IgM和C3。

局灶性节段性肾小球硬化


图12-21 局灶性节段性肾小球硬化

肾小球毛细血管丛的一段硬化,玻璃样变

病变继续发展,受累的肾小球逐渐增多。有些肾小球毛细血管丛可全部纤维化、硬化、玻璃样变(球性硬化)。相应的肾小管萎缩、纤维化。肾间质纤维组织增生,有少量淋巴细胞单核细胞浸润,有时并可见泡沫细胞聚积。晚期,大量肾小球硬化可发展为弥漫性硬化性肾小球肾炎而导致肾功能不全

【临床病理联系和结局】

局灶性节段性肾小球硬化病人约80%表现为肾病综合征。但与一般肾病综合征不同,其中约2/3同时伴有血尿,并常有高血压。大量蛋白尿,多为非选择性。病人对激素治疗效果不好,有效率仅为20%~30%。病变为进行性,常继续发展,可导致肾功能不全。一般儿童预后比成年人好。

参看