有髓神经纤维
详细描述
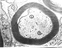
有髓神经纤维描述:神经纤维平行排列成束,在每条神经纤维的中央有轴突,外包雪旺氏细胞形成的髓鞘,神经纤维每隔一定距离有一环状的缩细部称郎飞氏结,此处髓鞘中断,雪旺氏细胞膜直接与轴突相贴。在神经纤维间可看到椭圆形的细胞核,是结缔组织中的成纤维细胞核,染色较深。
构成
有髓神经纤维(myelinated nerve fiber)由轴突(或树突)、髓鞘、神经膜构成。髓鞘(myelin sheath)及神经膜(neurolemma)呈鞘状包裹在轴突的周围。在轴突的起始部无髓鞘包裹,称此部为起始段(initial segment)起始段远侧的轴突部分,髓鞘呈节段包卷轴突,形似藕节,其间断部位,轴膜裸露,,可发生膜电位变化,称此部位为神经纤维节(node of nerve fiber),又称郎飞结(Ranvier node)。两个相邻结之间的一段,称结间体(internode),长约0.5~lmm,它是由一个施万细胞所形成的髓鞘及其周围的神经膜构成。施万细胞核呈长椭圆形,位于髓鞘边缘的少量胞质内。髓鞘主要是由类脂质和蛋白质所组成,称为髓磷脂(myelin)在常规染色标本上,因髓鞘中的类脂被溶解,仅见残存的蛋白质呈网状,称神经角演网(neurokeratin network)。在锇酸浸染标本上,髓鞘呈黑色,其中还可见数个呈漏斗形的斜裂,称髓鞘切迹(incisure of myelin)或施-兰切迹(Schmidt-Lanterman incisure)。电镜下,髓鞘为明暗相间的同心圆板层排列。髓鞘有保护和绝缘作用,可防 止神经冲动的扩散。
神经冲动传导
有髓神经纤维的神经冲动传导,是从一个郎飞结跳到相邻郎飞结的跳跃式传导,长的神经纤维,轴突就粗,髓鞘亦厚。结间体也长,传导速度快。反之,传导速度慢。大部分脑、脊神经属于有髓神经纤维。
中枢神经系统有髓神经纤维的髓鞘由少突胶质细胞形成。一个少突胶质细胞的几个突起,可分别包卷几条轴突形成髓鞘,其郎飞结较宽,无髓鞘切迹,其胞体位于神经纤维之间。
分类介绍
(1)周围神经系统的有髓神经纤维:这种神经纤维的轴突,除起始段和终末外均包有髓鞘。髓鞘分成许多节段,各节段间的缩窄部称郎氏结(Ranvier node)。轴突的侧支均自郎氏结处发出。相邻两个郎氏结之间的一段称结间体(internode)。轴突越粗,其髓鞘也越厚,结间体也越长。每一结间体的髓鞘是由一个施万细胞的胞膜融合,并呈同心圆状包卷轴突而形成的,电镜下呈明暗相间的同心状板层。髓鞘的化学成分主要是类脂和蛋白质,称髓磷脂(myelin)。髓磷脂中类脂含量很高,约占80%,故新鲜髓鞘呈闪亮的白色,但在常规染色标本上,因类脂被溶解,仅见残留的网状蛋白质。若标本用锇酸固定和染色,髓磷脂保存,髓鞘呈黑色,在其纵切面上常见一些漏斗型的斜裂,称施-兰切迹(Schmidt-Lantermann incisure)。
施万细胞的胞核呈长卵圆形,其长轴与轴突平行,核周有少量胞质。由于施万细胞包在轴突的外面,故又称神经膜细胞(neurilemmal cell),它的外面包有一层基膜。施万细胞最外面的一层胞膜与基膜一起往往又称神经膜(neurilemma),光镜下可见此膜。
髓鞘的形成:在有髓神经纤维发生中,伴随轴突一起生长的施万细胞表面凹陷成一纵沟,轴突位于纵沟内,沟缘的胞膜相贴形成轴突系膜(mesaxon)。轴突系膜不断伸长并反复包卷轴突,把胞质挤至细胞的内、外边缘及两端(即靠近郎氏结处),从而形成许多同心圆的螺旋膜板层,即为髓鞘。故髓鞘乃成自施万细胞的胞膜,属施万细胞的一部分。施万细胞的胞质除见于细胞的外、内边缘和两端外,还见于髓鞘板层内的施-兰切迹。该切迹构成螺旋形的胞质通道,并与细胞外、内边缘的胞质相通。
(2)中枢神经系统的有髓神经纤维:其结构基本与周围神经系统的有髓神经纤维相同,不同的是它的髓鞘不是施万细胞,而是由少突胶质细胞突起末端的扁平薄膜包卷轴突而形成。一个少突胶质细胞有多个突起可分别包卷多个轴突,其胞体位于神经纤维之间。其次是中枢有髓神经的外表面没有基膜包裹,髓鞘内亦无施-兰切迹。
有髓神经的轴膜兴奋是呈跳跃式传导的,故传导速度快。
有髓神经纤维的髓鞘,因含高浓度类脂而具嫌水性,它不容带离子的水溶液通过而起绝缘作用。有髓神经纤维轴突的轴膜,除轴突起始段和轴突终末外,只有在郎氏结处才暴露于细胞外环境。其余大部分的轴膜均被髓鞘包裹。由于髓鞘的电阻比轴膜高得多,而电容却很低,通过轴突的电流只能使郎氏结处的轴膜去极化而产生兴奋。所以,从轴突起始段产生的神经冲动(动作电位)的传导,是通过郎氏结处的轴膜进行的,即从一个郎氏结跳到下一个郎氏结,呈快速的跳跃式传导。故而,结间体越长,跳跃的距离也越大,传导速度也就越快。
无髓神经纤维
无髓神经纤维(nonmyelinated nervefiber)较细的轴突及施万细胞构成,无髓鞘、无郎飞结。电镜下可见一个施万细胞深浅不同的包裹5~15条粗细不等的轴突。无髓神经纤维的神经冲动传导是沿着轴突进行连续性传导,其传导速度比有髓神经纤维慢得多。植物神经的节后纤维和部分感觉神经纤维属无髓神经纤维。
神经纤维介绍
神经纤维(nerve fiber)是以神经细胞的突起(包括轴突与树突)为中轴,外包神经胶质细胞(施万细胞或少突胶质细胞)。根据神经纤维有无髓鞘包裹,分为有髓和无髓神经纤维两种。
神经纤维的溃变与再生
(一)溃变
神经纤维受损伤如神经被切断后,切断处远侧段的神经纤维全长发生溃变(degeneration),轴突和髓鞘碎裂和溶解。与胞体相连的近侧段则发生逆行性溃变,即轴突和髓鞘的断裂溶解由切断处向胞体方向进行,溃变一般只发展到邻近断端的第一侧支终止。神经元的胞体肿胀,细胞核从中央移到胞体边缘,胞质内尼氏体明显减少,故胞质着色浅淡。
(二)再生
神经元胞体是细胞的营养中心,只有在胞体没有死亡的条件下才有纤维再生(regeneration)的可能。胞体约于损伤后第3周开始恢复,胞质内的尼氏体重新出现,胞体肿胀消失,胞核恢复中央位置。胞体的完全恢复约需3~6个月,恢复中的胞体不断合成新的蛋白质及其他产物输向轴突,使残留的近侧段轴突末端生长出许多新生的轴突支芽。
1.周围神经纤维的再生 切断处远侧段的周围神经纤维,虽然其轴突和髓鞘发生溃变,但包裹神经纤维的基膜仍保留呈管状。此时施万细胞大量增生,一面吞噬解体的轴突和髓鞘,一面在基膜管内排列成细胞索,靠近断口处的施万细胞还形成细胞桥把两断端连接起来。从近侧段神经纤维轴突末端长出的轴突支芽,越过此施万细胞桥,进入基膜管内,当其中一支沿着施万细胞索生长并到达原来神经纤维末梢所在处,则再生成功。施万细胞和基膜对轴突的再生起重要的诱导作用。
2.中枢神经纤维的再生 中枢神经纤维的再生比周围神经困难。神经纤维无施万细胞,亦无基膜包裹。当中枢神经纤维受损伤时,星形胶质细胞增生肥大,在损伤区形成致密的胶质瘢痕,大多数再生轴突支不能越过此胶质瘢痕;即使能越过,也没有如同周围神经纤维那样的基膜管和施万细胞索引导再生轴突到达目的地。所以,中枢神经纤维的损伤常导致脊髓或脑功能的永久性丧失。数十年来不少科学家为研究神经再生进行不懈的努力,近年来已注意到一类能促进神经生长的化学物质称神经营养因子(neurotrophic factor)的作用。同时又根据胚胎神经元容易生长的化学物质称神经营养因子(neurotrophic factor)的作用。同时又根据胚胎神经元容易生长及周围神经能再生的特点,把胚胎脑组织、周围神经或周围神经的组分(如基膜或基膜的化学成分)移植到脑内,以期促进中枢神经再生。
在传导上有髓神经纤维比无髓神经纤维快
在神经细胞中,部分细胞是没有髓鞘的神经细胞。而在比较高级的动物的神经系统中,神经细胞的轴突部分是由髓鞘包裹着的。而髓鞘并不是完全包裹着轴突,它们是分节的。每一节大约有1mm长,节与节之间有一小段是裸露的部分,这些裸露的部分就被称为郎飞氏节。在两段髓鞘之间是无髓鞘的部分,称为郎飞氏结,其电阻要比结间小得多。因此,在冲动传导时,局部电流可由一个郎飞氏节跳跃到邻近的下一个郎飞氏节。这种传导方式称为跳跃传导。跳跃传导方式极大地加快了传导的速度。
