听神经瘤
听神经瘤是指起源于听神经鞘的肿瘤,是颅内神经瘤最多见的一种,占颅内肿瘤的7%—12%,占桥小脑角肿瘤的80—95%。多见于成年人,20岁以下者少见,性别无明显差异,左、右发生率相仿,偶见双侧性。临床以桥小脑角综合征和颅内压增高征为主要表现。是良性肿瘤,早诊早治疗效好,肿瘤较大合并颅内高压者手术是唯一出路。
疾病概述
神经瘤起源于听神经鞘,是一典型的神经鞘瘤,由于没有神经本身参与,故恰当称谓应为:听神经鞘瘤,是常见颅内肿瘤之一,好发于中年人,高峰在30-50岁,无明显性别差异。
疾病分类
疾病描述
听神经瘤因源自神经膜,故而又称听神经鞘膜瘤,为小脑脑桥角常见的良性肿瘤,多见于30—50岁的中年人,女性多于男性,由于本病的早期初期耳鸣、耳聋和头晕,故多初诊于耳科。
症状体征
肿瘤在内耳道内逐渐增大将推动或压迫听神经、前庭神经和伴行的内听动脉,后者又将影响内耳血供,作为感觉结构退变,表现为单侧缓慢进行性,(偶呈突发性)耳聋,高调耳鸣、头晕和不稳感,肿瘤也可直接破坏骨迷路而产生类似症状,若中间神经与面神经被推压将出现耳内疼痛,涎腺与泪腺分泌改变,舌前味觉异常,半面肌痉挛,肌无力或瘫痪,肿瘤向小脑脑桥角方向发展,首先破坏岩尖及其上的三叉神经节,引起患侧面部麻木,角膜放射消失等。若肿瘤与脑干和小脑接触并使之受压,可引起自发性眼震和共济失调,肿瘤过大引起周围静脉回流障碍,脑脊液循环受阻,可使颅内压升高,出现头痛,恶心呕吐等。
疾病病因
听神经瘤多源于第Ⅷ脑神经内耳道段,亦可发自内耳道口神经鞘膜起始处或内耳道底,听神经瘤极少真正发自听神经,而多来自前庭上神经,其次为前庭下神经,一般为单侧,两侧同时发生者较少,肿瘤外观呈灰红色,大小不一,形状各异,质底视脂肪性变与囊变的有无和程度的差异而软硬不同,瘤体表面有膜,显微镜下瘤细胞多呈纺锤形、核长杆状,排列成栅栏或漩涡状,胞浆似纵纤维状,内含粗面内质网等细胞,瘤细胞边缘有很多长突起、交错伸延于细胞间隙内,和胶原纤维与罗斯小体并存,有的瘤细胞为多角形,成团群集、界限不清,组成大小形状各异的团网,细胞间有含粘液的微空隙两型细胞可共存,唯多以其一为主,肿瘤增长较缓慢,不同时期速度可不同,若发展过快,其中心可液化囊变,瘤体本身血管分布不多,源于神经但无神经从中穿行。
发病机制
听神经瘤引起小脑脑桥角症候群症状可轻可重,这主要与肿瘤的起始部位、生长速度、发展方向、肿瘤大小、血供情况及有否囊性变等因素有关。肿瘤初起时其前庭部分最先受损因而在早期,都有一侧前庭功能的丧失或减退及耳蜗神经的刺激或部分麻痹现象。随着肿瘤的生长,其前极可以触及三叉神经的感觉根而引起同侧面部疼痛面部感觉减退、角膜反射迟钝或丧失、舌尖及舌的一侧感觉减退。如果三叉神经的运动根亦受影响,则可出现同侧咀嚼肌无力,张口下颌偏向患侧,咀嚼肌及颞肌的萎缩等。
在病理学方面肿瘤多数来源于听神经的前庭部分,3/4起源于上前庭神经,少数来自耳蜗部分。前庭神经内听道部分(外侧部)长约10mm,脑桥小脑角部分(内侧部)15mm,总长度约25mm,其神经胶质髓鞘和Schwann细胞髓鞘之间存在分界带,此分界带恰在内耳孔区。肿瘤常常发生在内听道,是由于其起源于Schwann细胞。约3/4的肿瘤发生在外侧部,仅有1/4发生在内侧部。随着肿瘤的生长、增大,肿瘤可引起内听道扩大,突向小脑脑桥角部充填于小脑脑桥角内。肿瘤大多数为单侧性,少数为双侧性;如伴神经纤维瘤病时则正相反。
两侧发生的几率各家报告结果不一。总的说来,左右侧发生率几乎均等。听神经鞘瘤有完整包膜,表面大多光滑,有时可略呈结节状,其形状和大小根据肿瘤的生长情况而定。一般在临床诊断确立后,其体积大多已超过直径2.5cm以上。大型肿瘤可占据整个一侧颅后窝,并向上经天幕裂孔至幕上下达枕骨大孔的边缘,内侧可跨越脑桥的前面而达对侧。肿瘤在颅腔内总是居于蛛网膜下腔内。因此表面总有一层增厚的蛛
网膜覆盖,并包裹着一定数量的脑脊液似乎像蛛网膜囊肿。肿瘤的实质部分色泽灰黄至灰红色,质坚而脆。瘤组织内常有大小不等的囊腔,内含有淡黄色透明囊液,有时并有纤维蛋白凝块。肿瘤与小脑邻接之处粘着较紧,但一般不侵犯小脑实质分界清楚。肿瘤多数有一角伸入内听道内,使其开口扩大此处脑膜常与肿瘤紧密粘着。面神经管紧贴于肿瘤的内侧因粘连较多,常无法肉眼分清。这使手术保留面神经成为难题,因而显微手术就格外重要。
肿瘤的主要血供来自小脑前下动脉,此血管在接近肿瘤处分出一支进入肿瘤包膜,并分成若干小枝进入肿瘤组织。其他有基底动脉分出的脑桥动脉、小脑上动脉小脑后下动脉的分支至肿瘤。小听神经鞘瘤时与其密切相关的血管则为小脑前下动脉。与小脑相接触的表面亦接受来自小脑表面的动脉供血。其静脉回流主要通过岩静脉进入岩上窦听神经。
病理生理
听神经瘤多源于第Ⅷ脑神经内耳道段,亦可发自内耳道口神经鞘膜起始处或内耳道底,听神经瘤极少真正发自听神经,而多来自前庭上神经,其次为前庭下神经,一般为单侧,两侧同时发生者较少,肿瘤外观呈灰红色,大小不一,形状各异,质底视脂肪性变与囊变的有无和程度的差异而软硬不同,瘤体表面有膜,显微镜下瘤细胞多呈纺锤形、核长杆状,排列成栅栏或漩涡状,胞浆似纵纤维状,内含粗面内质网等细胞,瘤细胞边缘有很多长突起、交错伸延于细胞间隙内,和胶原纤维与罗斯小体并存,有的瘤细胞为多角形,成团群集、界限不清,组成大小形状各异的团网,细胞间有含粘液的微空隙两型细胞可共存,唯多以其一为主,肿瘤增长较缓慢,不同时期速度可不同,若发展过快,其中心可液化囊变,瘤体本身血管分布不多,源于神经但无神经从中穿行。
(1)早期症状:①耳鸣:为一侧性,音调高低不等,渐进性加剧,多与听力减退同时开始,但也可能是早期唯一症状。②听力减退:一侧渐进性耳聋,早期常表现为与人谈话时,闻其声而不知其意,渐发展为全聋。③眩晕:少数表现为短暂的旋转性眩晕,伴耳内压迫感、恶心、呕吐,如膜迷路积水症状,但大多表现为不稳感;因肿瘤发展缓慢,前庭逐渐发生代偿而可致眩晕消失。④患侧耳内深处或乳突部疼痛,外耳道后壁麻木感。
(2)肿瘤已侵入或原发于颅后窝的症状:①三叉神经感觉支受累;同侧面部麻木。②可出现同侧周围性面瘫。③晚期,肿瘤压迫小脑,则出现发声不清,运动失调。④头痛:初起位于枕部及顶部,晚期因颅内压增高则全头痛;尚可伴有视力障碍及大脑传导束的受累症状。
诊断要点
早期
耳部症状肿瘤体积小时,出现一侧耳鸣、听力减退及眩晕,少数患者时间稍长后出现耳聋。耳鸣可伴有发作性眩晕或恶心、呕吐。
中期
面部症状肿瘤继续增大时,压迫同侧的面神经和三叉神经,出现面肌抽搐及泪腺分泌减少,或有轻度周围性面瘫。三叉神经损害表现为面部麻木、痛、触觉减退、角膜反射减弱、颞肌和咀嚼肌力差或肌萎缩。
晚期
小脑桥脑角综合征及后组颅神经症状,肿瘤体积大时,压迫脑干、小脑及后组颅神经,引起交叉性偏瘫及偏身感觉障碍,小脑性共济失调、步态不稳、发音困难、声音嘶哑、吞咽困难、进食呛咳等。发生脑脊液循环梗阻则有头痛、呕吐、视力减退、视乳头水肿或继发性视神经萎缩。
放射学检查
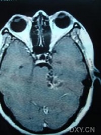
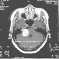
(2)CT及MRI扫描:CT表现为瘤体呈等密度或低密度,少数呈高密度影像。肿瘤多为圆形或不规则形,位于内听道口区,增强效应明显。MRIT1加权像上呈略低或等信号,在T2加权像上呈高信号。第四脑室受压变形,脑干及小脑亦变形移位。注射造影剂后瘤实质部分明显均一强化,囊变区不强化。
诊断检查
神经耳科检查由于病人早期仅有耳鸣、耳聋,常在耳科就诊。常用的是听力检查及前庭神经功能检查。
听力检查
有4种听力检查方法可区别听力障碍是来自传导系统、耳蜗或听神经的障碍听力测验,第Ⅰ型属正常或中耳疾病;第Ⅱ型为耳蜗听力丧失;第ⅢⅣ型为听神经病变音衰退阈试验。如果音调消退超过30dB为听神经障碍,短增强敏感试验积分在60%~100%为耳蜗病变,双耳交替音量平衡试验有增补现象的属耳蜗病变,无增补现象的属中耳或听神经病变。
前庭神经功能检查
听神经瘤多起源于听神经的前庭部分,早期采用冷热水试验几乎都能发现病侧前庭神经功能损害现象、反应完全消失或部分消失。这是诊断听神经瘤的常用方法。但由于从前庭核发出的纤维经脑桥交叉至对侧时,位于较浅部容易受大型小脑脑桥角肿瘤的压迫健侧的前庭功能也有10%左右病人可以受损。
神经放射学诊断
(1)X线平片:主要变化为骨质吸收致内听道扩大岩骨断层片异常的指标,一侧内听道宽度较对侧大2mm以上;内听道后壁缩距3mm以上;内听道内侧端凹缘骨质轮廓消失或模糊不清;在筛极水平镰状嵴移位至内听道高度的中点以下。
(2)脑血管造影:所见病变的特征是:基底动脉向斜坡靠拢;小脑前中央静脉向后移;桥、中脑前静脉向斜坡靠拢;脉络点向后移;病变较大时还可见小脑前下动脉被来自内听道的肿块推移,基底动脉及桥、中脑前静脉均向后移;基底动脉可移向对侧;肿瘤着色。
(3)CT及MRI检查:目前听神经鞘瘤诊断的标准是Gd-DTDA增强的MRI,特别是当肿瘤很小(<1cm)或在内听道内,CT扫描阴性又高度怀疑肿瘤存在时应该进行GD-DTPA增强的MRI。CT与MRI两种检查有相辅相成的作用,如CT发现有病侧内听道扩大时,增强CT可发现肿瘤对于估计中颅窝入路时颞骨的气化程度及高颈静脉球与后半规管及底的距离有帮助。如果病人已作了CT而肿瘤较大,MRI可提供对脑干压迫的范围Ⅳ脑室是否通畅脑积水、是否存在的情况对可疑听神经鞘瘤或CT检查难于确定时,全序列的MRI可做出鉴别诊断。但也要注意Gd-DTPA的可能假阳性,这与内听道内神经的炎症或蛛网膜炎有关;任何小的接近底部的增强病变应该在六月后作MRI复查,以评估其生长情况。
脑干听觉诱发电位或脑干电反应听力测定为一种无创伤性电生理检查,阳性所见为V波延迟或缺失,约95%以上的听神经鞘瘤有此表现,现已广泛用于本瘤的早期诊断。
治疗方案
听神经瘤首选手术治疗,可以完全切除、彻底治愈。如果手术残存的肿瘤可以考虑伽马刀治疗。
听神经瘤的外科治疗已有 100 多年的历史,可简要地归纳为以下几个阶段:
(1)先驱阶段: 1890 年 Von Bergmann 首次尝试经枕下入路切除听神经瘤,当时竟用手指剥离肿瘤,又因出血难以控制,手术死亡率高达 100%。 Cushing 开创了听神经瘤手术治疗的新纪元, 1917 年报告的一组听神经瘤患者,其手术死亡率为 15.4%,使当时总的平均手术死亡率降至 33.9%。
(2)治疗阶段: 1925 年至 1960 年为听神经瘤的手术治疗阶段,在这一时期,抗菌素开始广泛应用于临床,手术器械不断改进,特别是双极电凝器及麻醉技术的发展使听神经瘤真正进入手术治疗阶段。这一时期的代表人物是 Dandy,他于1925年首先报告听神经瘤全切除术,至1940年,他报告的听神经瘤手术死亡率已降至 10% ,而且大部分肿瘤得以全切除。 Olivecrona(1940)也是这一时期有重要贡献的外科医生。
(3)面神经保留阶段: 1961 年 House 首先将显微外科技术引入听神经瘤手术,使听神经瘤手术治疗进入面神经保留阶段。手术显微镜、显微手术器械、双极电凝、神经电生理监测以及神经影像技术日趋成熟,特别是 1972年CT的问世,使神经影像学发生了革命性的变化,即由直接显示肿瘤代替了由脑血管造影和脑室造影间接显示肿瘤的历史。1961年至1974 年期间,听神经瘤不仅可以全切除,而且尚可保留面神经,手术死亡率降至 8% ,肿瘤全切除率达 83.6%,面神经解剖保留率达 79.3%。
( 4 )听力保留阶段:自 1975 年至今的 20 多年来,听神经瘤的手术进入了听力保留阶段。高分辨率的 CT、MRI广泛应用于临床,使局限于内听道内的小型肿瘤能得以早期诊断。特别是近10年来,三维影像技术、术中导航设备、超声吸引器、电磁刀、内镜等高科技产品的应用,使听神经瘤手术平均死亡率降至 1.8% ,肿瘤全切除率升至93.5%,面神经解剖保留达 87.5%,听力保留率达 23.7%。经验丰富的医生手术效果会更好,例如 Samii1997 年报告 1000 例听神经瘤,肿瘤全切除率为 97% ,手术死亡率 1.1% ,面神经解剖保留率为 93% ,蜗神经解剖保留率为 68%。
手术事项
1.单侧枕下入路
枕部骨窗应暴露横窦及乙状窦,向下应尽量显露至颈静脉球。如果不是巨大肿瘤可以不暴露枕大孔。先放出枕大池和颈静脉球周围池的脑脊液可使小脑回缩,一般情况下不用脱水剂和腰穿继续引流。脑压板的作用是保护小脑而不是牵拉小脑,体位得当即可避免牵拉小脑。手术第一步是游离第Ⅸ、Ⅹ、Ⅺ颅神经以及第Ⅴ颅神经,确定小脑前下动脉及其分支,并从肿瘤壁上将其分离。在显微镜下辩认前庭神经的残留部分。第二步是确定准备切开肿瘤包膜的部位没有面神经走行。也可通过面神经刺激的方法来寻找,这对初学者是一种极好的方法。然后打开包膜作囊内切除。超声吸引(CUSA)器可大大加快肿瘤切除的速度,激光气化也相当满意,但较CUSA慢。囊内切除时最重要的是保留包膜的完整性,以免损伤尚未鉴别出的神经和血管,一般保留包膜少于1~2mm厚。第三步即根据肿瘤与脑干和颅神经的粘连情况决定由内向外还是由外向内分离肿瘤。如果颅神经很容易辨认分离则可以在暴露内听道之前全部切除颅内肿瘤;但如果肿瘤与脑干粘连,颅神经很难辨认,最好先切除内听道内的肿瘤,找出面神经,然后再向中线侧切除。内听道磨开后于中线切开硬脑膜,内耳孔处的肿瘤与硬脑膜均有粘连,在辨认出第Ⅶ、Ⅷ颅神经后方可电凝肿瘤粘连处并予以分离切除。试图保留听力者应保留内听动脉。如果术中面神经被切断,应尽量采用7-0或9-0丝线作端端吻合,由于面神经被明显拉长,故一般无困难。手术的危险包括面神经损伤、桥脑外侧静脉损伤。最大的危险是小脑前下动脉及其分支的损伤,采用微吸引管和保持手术野清楚是避免上述危险的必要措施。CUSA和激光的使用均需十分小心细致。必须记住,使用高速电钻时周围不能有任何棉片,很小的棉片被卷入都可造成不可挽回的严重损伤。
2.经迷路入路
一入路必须对颞骨的解剖非常熟悉。手术的关键是判别面神经,在到达内听道之前不暴露面神经。内听道和颅后凹颅骨的切除范围应与肿瘤大小一致。磨除骨质时的主要危险是损伤面神经。颈静脉球和乙状窦出血可明显影响手术操作,但很少引起严重并发症。大的肿瘤可使小脑前下动脉移位而容易损伤。囊内切除后所有粘连的神经和血管均应在显微镜下进行分离。面神经出内听道口处是肿瘤全切除的标记。手术中常犯的错误是囊内切除不够。瘤腔出血可用微晶体胶原或浸有凝血酶的明胶海绵填塞而获得止血,然后再作肿瘤切除。
3.颅中凹入路
用于非常小的肿瘤切除并以保留听力作为目的。颞部骨瓣应尽量靠近颅底。抬起硬脑膜至可以看到听隆突为止。磨除骨质采用经迷路入路一样的方法,切除从横嵴到内听道的骨质。小的肿瘤切除的操作必须十分精细,十分注意内听动脉的保护。内听道口颅神经之间的解剖关系是固定的。面神经在前上方,耳蜗神经在前下方,前庭神经的两个分支在后方。小脑前下动脉变异较大,甚至可进入内听道,但上述这些结构并不与肿瘤保持固定的关系。通常面神经向前上方移位,常伴随三叉神经走行然后回到脑干的外侧,耳蜗神经通常向前下方移位,但变化极多。面神经可走行于肿瘤的下方,甚至位于肿瘤后方或被肿瘤包裹,这种情况保留面神经最为困难。保护小脑前下动脉的前提是任何时候都要看清包膜,然后将其分支从包膜及其周围蛛网膜上分离。进入内听道的小脑前下动脉最易损伤。内听动脉的损伤可丧失听力保留的机会,并与暂时性面瘫有关。所有较大肿瘤的病人术中均采用脊髓诱发电位监测。脑干诱发电位因不能预测听力的保留已用得很少。耳蜗神经无预测意义且监测非常困难,技术上有待进一步研究。
4.死亡率、病残率及并发症
近期不少大宗病例报告的手术死亡率已极低,有的甚至为零。少数患者需分期手术。脑干粘连部分的不适当分离可引起肢体瘫痪,小脑的过度牵拉和分离损伤可引起小脑功能障碍。最多的并发症为脑脊液漏。
5.面神经的保留与恢复
目前无论肿瘤大小均可以设法保留面神经,即便在术中离断,多数亦可进行吻合。术中无面神经损伤,但有功能缺失的恢复时程差别较大,可根据下述情况进行判断:
(1)术后面神经功能正常的病员虽有轻度的面肌无力,但一般数天即可恢复;
(2)术后面神经功能正常,但逐渐在24~72小时内发展成明显面瘫,如为部分性瘫,一般数周至数月内可恢复,如果为完全性面瘫则需3~6个月的恢复时间;
(3)术后面神经功能正常而在术后几天内突然完全面瘫,病员可确切地说出发生的时间,被认为由血管因素引起,恢复很慢,6~12个月或更长;
(4)病员麻醉清醒后即有部分面瘫,但并不加重,大多于数周至数月恢复;
(5)清醒后面瘫由部分性逐步发展成完全性,大多在3~6个月左右恢复;
(6)醒后即全瘫者很难预测恢复的比例。术中看上去面神经完好的可能要一年而术中神经明显变细者却可在数月内恢复。术中神经切断并作了无张力端端吻合者,面神经功能的恢复至少需等待一年。如果一年后仍无临床上和肌电图上神经恢复的迹象,则有理由作神经移植。面神经移植前应采用面肌刺激以保持健康的面肌张力。神经移植可选用舌下神经或副神经的胸锁乳突肌支。
预后事项
选择合适的患者经枕下入路听神经鞘瘤切除术的总体结果与其他手术方法大致相似,在较小听神经瘤患者致残率几乎为零。较大听神经鞘瘤患者致残率和死亡率分别为5%~10%和1%~2%。国外有报告早期的181例听神经瘤手术死亡率为1.1%,而自1978年采取经枕下入路切除听神经瘤后,没有死亡病例。
鉴别听神经瘤与面神经瘤
听神经瘤应和面神经瘤相鉴别:面神经瘤少见,它可发生于面神经从脑干到神经-肌肉接头处的任何部位,发生在桥小脑角(CPA)和内听道(IAC)内时,其临床表现酷似听神经瘤。
面神经瘤的临床特征有赖于病变的部位和范围,尽管有急性面瘫和波动性面瘫病例的报道,但最常见的临床症状仍是缓慢的进行性面神经麻痹。
感音神经性耳聋、眩晕、耳鸣可能是位于CPA和IAC内肿瘤的临床症状。此外尚有舌前2/3味觉障碍、面部抽搐、眼干、口干等症状。
参看
| |||||||||||||||||||||||
| |||||||||||||||||
