光敏性皮炎
光敏性皮炎是由于患者对紫外线过敏所致,仅见于少数人,患者通常在日晒后1~2天后发病,皮疹多发于面部、颈部和颈前“V”形区、手背及上肢伸侧,表现为小丘疹、小水疱、自觉瘙痒,如不积极治疗,可形成慢性光敏性皮肤病。
疾病简介
光敏性皮炎有时被认为是一种对阳光的过敏,是一种阳光引发的免疫系统反应。光敏性皮炎包括日光性荨麻疹,化学光敏性皮炎,多形性日光疹,以在暴露在日光下部位的瘙痒性突发性皮疹为特征。这种光敏感的体质可以遗传。一般的疾病如系统性红斑狼疮,多卟啉症,也可因
曝晒阳光后发病。
日光性荨麻疹是暴露在阳光下几分钟发生的风团(大的,瘙痒性红斑)。风团在暴露在阳光下十分钟内发生,在离开阳光后1-2小时消散。大面积发病的人常常有头痛,虚弱,恶心。
化学性日光疹是暴露在阳光下一定时间后表现为进行性发红,发炎,有时有青紫色素斑。这种反应区别于日光疹在于它在患者服用或外用莫些药物后。这些药物使某些人的皮肤对紫外线的敏感性增强。有些人在服用某些药物后由阳光引起过敏造成瘙痒的风团。
多形性日光疹,是一种病因不明的对日光的特殊反应。是一种常见的皮肤疾病,妇女和没规则的晒过太阳的人易发。发作时阳光照射部位出现泛发的红色丘疹,和不规则的皮疹。这些皮疹痒,一般出现在晒太阳后30分钟到几小时。丘疹和红斑一般在一星期左右消退。特别的,有这种情况得人继续坚持到户外晒太阳可减低对阳光的敏感性。
疾病原因
在临床中常用的降压药如珍菊降压片,复方降压片等均含有噻嗪类利尿剂,文献报导引起光敏性皮炎比较多,报告了服用珍菊降压片引起光敏性皮炎的药品不良反应。
光敏性皮炎是指暴露于某些外来的光敏物和光线后发生的皮肤反应,常见的可引起皮肤光敏反应的药,有:噻嗉类利尿剂、氯丙嗉、非甾体消炎药、四环素磺胺类药物、荼啶酸、乙胺碘呋酮、奎宁和奎尼丁、速尿等。
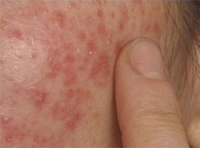
其发生要有两个条件,一是外源性光敏物经皮肤接触或内服吸收,二是皮肤吸收了一定能量和一定波长的光,其所致的皮肤损害形态多种多样,可表现为水肿性红斑、丘疹、斑块、结节、皮损的分布局限于光暴露部份,如头部(头发稀疏者)、双额部、耳前、颈后部、手背等边界较清楚的部位,表皮状红斑,偶或斑丘疹、淡红、鲜红或暗红色各异,轻者为散在的小片,重者可融合成大片,伴或不伴水肿,随病情可伴脱屑和色素沉着,所有患者均有不同程度痒或灼热感。
药物所致的光敏性皮炎在临床上常被误诊为一般的皮炎或晒斑,应引起重视。诊断此病主要依据为受损的分布部位是在光暴露部份而不是一般的接触暴露部位,皮损属于光毒性反应的表现,有明确服用光敏感药物的病史且发病季节大多在初春季节,据此可以区别接触性皮炎,多型性日光疹和晒斑。
光敏性皮炎最常由化妆品中含的香料引起。例如香皂、洗面奶、沐浴露等都含有多种复杂的香料成分, 它们在洗浴时渗入皮肤、在散射阳光的作用下,使某些人的皮肤发生过敏性反应。光敏性皮炎患者只要坚持用凉水或温水冲澡,不在皮肤上用任何清洁护肤品,就可缓解光敏性皮炎病情、防止复发。
诊断标准
光毒性皮炎是皮损呈局限性
片状红斑,有烧灼感或疼痛。严重时可出现水肿和水疱或伴有结膜炎及全身症状,如头痛、头昏、乏力、口渴、恶心等。具有下列条件者可诊断:
1 发病前有明确的一定量的光敏性物质职业性接触史,并受到一定强度和时间的日光照射。
2 皮损发生在与光敏性物质接触并受到日光照射的部位。
3 同工种、同样条件下大多数人发病。
4 皮损始发于受日光照射后数小时内。
5 脱离接触光敏物质或避免日光照射后,皮炎消退较快,局部可留有不同程度的色素沉着。
6 必要时可做光斑贴试验,呈晒斑样反应。
疾病治疗
任何人接受了了过量得紫外线,都可能会出现光敏性皮炎,它与人体自身的免疫系统没有关系,大多是由于UVB引起的。其急性发作的症状表现为暴露在日晒下的皮肤出现红斑,水肿,严重时出现水泡,并伴随皮肤的灼痛感。急性期过去以后,会出现脱皮色素沉淀等症状。若没有及时修复,则可能出现皮肤松弛,干燥,粗糙,出现皱纹或加深已有皱纹,皮肤角质增生,细胞萎缩,毛细血管扩张等症状。
生活中有些东西可能会加大人体对于紫外线的吸收,应该尽量避免。比如,煤焦油它其中含有25种已知的光毒性物质,如anthracene,benzpyrine,acridine,pyridine等等。一些劣质的香水,口红等化妆品也是光毒性皮炎的一个重要导致物。特别是一些防晒品也有引起光毒性皮炎的可能性,一定要谨慎选择。
相对于光敏性皮炎而言,光敏性皮炎应该是皮肤对于紫外线晒后的免疫性(过敏反应)的湿疹性病变。某些光敏性的物质进入体内后,因为日光的照射,和体内的蛋白质结合而形成了一个抗原性物质,刺激机体产生抗体,致敏了淋巴细胞,抗原和抗体或抗原和被致敏的淋
巴细胞反应,则会出现光敏性皮炎,它一般是由UVA引起的。如果只是接触了光敏类物质,而没有受到紫外线的照射,也不会出现伤害。这种病变除了与食物药物有关以外,还与遗传,是否过敏体质,接受紫外线的强调和范围有关系。
具体而言,又可以分为因为药物引起的光敏药物反应和因为生活中接触了光敏性强的物质而引起的光敏性皮炎。其症状表现为,当接触光敏性物质或药物以后,受到了紫外线照射,则会在十二小时内出现红斑,有随肿胀感,可能会有水泡出现,并伴随着灼热感,但一般不会出现痛感。多发生在面部,前臂,手背等部位。\及时修复三五天以后则可能完全消失。但若没有即使修复,则可能会留下色素沉淀。
注意事项
一些人由于接触了大量紫外线的照射或者食用了一些感光蔬菜,而患上了光敏性皮炎,医生提醒,夏天应预防光敏性皮炎。
光敏性皮炎通常是在人体接触日晒后的一到两天时间内发病,皮疹多见于面部、颈部、手背以及上肢,主要表现为小丘疹、小水泡、红斑等,自觉瘙痒,严重时一些非光照部位也可引起皮疹,不疼痛,瘙痒异常,消失很慢,如果不积极治疗,还可以形成慢性光敏性皮肤病。
夏季是皮肤病原体的多发季节,人们从事户外活动时应当做好防护工作,加戴太阳帽、穿长衣长裤、打遮阳伞等。如果症状明显,可以服用一些抗过敏性药物。还有一些人在大量食用一些蔬菜,如芹菜、油菜、菠菜、白菜后,接受光照的情况下也容易引起光敏性皮炎,如果出现这种情况,应及时到正规医院的皮肤科就诊,以免因蔬菜农药的残留物引起皮肤病,吃蔬菜水果时一定要先冲洗几遍,再浸泡一段时间,将水倒掉,冲洗后再吃。
光敏性皮炎的种类很多,夏天最常见的是在面部、双臂等裸露部位发生的小丘疹。它与日晒性皮炎不同,没有强烈的日晒史,不是每人都发生,也不会引起大面积脱皮。
光敏性皮炎最常由化妆品中含的香料引起。例如香皂、洗面奶、沐浴露等都含有多种复杂的香料成分, 它们在洗浴时渗入皮肤、在散射阳光的作用下,使某些人的皮肤发生过敏性反应。 这类患者只要坚持用凉水或温水冲澡,不在皮肤上用任何清洁护肤品,就可缓解病情、防止复发。
患者可在痒感较重的患处作冷敷:取半盆冷水,将毛巾浸湿,叠成四层,然后将毛巾挤成半干,紧敷痒处。每3分钟清洗一次,数次后即可止痒。再痒再敷,数日之后终可自愈。有的人反其道而行之,不仅频频用皂类清洗,而且涂用含有“松”类激素的止痒药物,常使病情顽固不愈,年年复发,得不偿失。
| |||||||||||||||||||||||||||||||||||||||||||