生精上皮

来自医学百科
112.247.109.102讨论2014年1月26日 (日) 12:27的版本 (以“{{百科小图片|bk7xh.jpg|}} 生精小管生精上皮生精细胞排列成复层。 图为睾丸,HE染色”为内容创建页面)
(差异) ←上一版本 | 最后版本 (差异) | 下一版本→ (差异)
Bk7xh.jpg

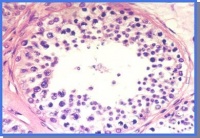
精小管生精上皮生精细胞排列成复层。

图为睾丸,HE染色