牙结石

来自医学百科
Admin讨论 | 贡献2014年1月20日 (一) 23:19的版本 (以“{{百科小图片|bkin9.jpg|牙结石图片}}牙结石又称牙石,它是由食物残渣、坏死脱落的口腔上皮细胞唾液中...”为内容创建页面)
(差异) ←上一版本 | 最后版本 (差异) | 下一版本→ (差异)
牙结石图片

牙结石又称牙石,它是由食物残渣、坏死脱落的口腔上皮细胞唾液中的矿物质钙化后附着在牙齿表面而形成的。并呈现出黄色、棕色、或者黑色。

基本概述

基本结构

牙结石通常存在于唾液腺开口处的牙齿表面(例如:下颚前牙的舌侧表面,上颚后牙的颊侧表面)和牙齿的颈部,以及口腔粘膜运动不到的牙齿表面等处。牙结石开始时是软软的,会因逐渐的钙化而变硬。它是由75%的磷酸钙,15-25%的水、有机物、磷酸锰、矿酸钙及微量的钾、钠、铁所构成。并呈现出黄色、棕色、或者黑色。通俗地说:“牙结石即牙垢”,是附着在牙面上的矿化的菌斑和其他沉积物的总称。  

形成原因

牙结石

一、由于唾液中的二氧化碳浓度降低,促使无机盐沉淀于牙齿表面上。

二、由于退化细胞磷酸盐酵素使有机磷水解产生磷沉淀于牙齿表面而形成。

三、由于细菌使唾液的酸碱值升高而呈碱性,造成唾液中的蛋白质分解,放出钙盐,沉淀于牙齿表面上而成。

四、与口水浓度有关,浓度愈大,愈易沉淀。

牙结石形成的速度、形态和硬度因人而异,一般来说新生的牙结石需

牙结石

要十二至十五小时。快速形成的牙结石要比慢慢形成的牙结石要软且碎。所有刚形成的牙结石都是软软的,经过一段时间的钙化就会慢慢的变硬。因此在牙结石形成之初,使用口腔清洁法或刷牙法,都很容易清除牙结石,等到钙化之后就不易清除了。

牙结石对口腔而言是一种异物体,它会不断刺激牙周组织,并会压迫牙龈,影响血液循环,造成牙周组织的病菌感染,引起牙龈发炎萎缩,形成牙周囊袋。当牙周囊袋形成后,更易使食物残渣、牙菌斑和牙结石等的堆积,这种新的堆积又更进一步的破坏更深的牙周膜,如此不断的恶性循环的结果,终至牙周支持组织全部破坏殆尽,而使牙齿难逃拔除的恶运。  

相关危害

牙结石

牙石容易吸附细菌或毒素。加上牙石本身的局部刺激,可使牙龈红肿出血发炎。由于龈下牙石刺激及附着物产生的毒素,可使牙龈内侧发生溃疡,不易愈合,致使牙龈出血口臭牙周感染加重。因此,牙石是牙周炎发生、发展的重要因素。所以牙石堆积,就要去医院洁石,一般每隔半年至一年清除一次牙石为宜;牙结石附着在牙齿上,影响美观,也影响镶牙修复的效果,有了牙结石,活动假牙(又称可摘义齿)就会与牙面不密合,容易导致食物残屑积存在假牙上,引起口腔发炎。所以结石较多的人,镶牙前也要去洁牙。

洁牙后如不注意,牙石又会很快形成,所以洁牙后要继续防治。注意正确的刷牙方法,有助于减少牙石的形成;洁牙后,过了一段时间局部仍会流血,则要请牙医小心检查是否已有牙周病或牙龈深部尚有残余的牙结石存在。

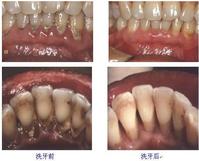
洗牙前后

有些人说自己的牙齿原来并不松动,但洁牙后感觉到牙齿比以前松动了,认为洁牙会使牙齿变松。这是一种误解。其实牙齿原来就松动,只不过由于结石太厚,将松动牙齿包绕,病人感觉松动不明显罢了,等牙齿松动到一定程度,就有可能与结石一起自动脱落。所以通过洁牙可以及时发现问题,及时治疗,避免牙齿松动脱落。

值得一提的是:有些人受经济利益的驱动,也没有经过系统正规的学习培训,就开设所谓“洗牙店”,技术水平和器械消毒措施都不符合要求。不能达到洁牙的目的,又容易造成交叉感染,所以,如果需要洁牙一定要到正规的医院和诊所。

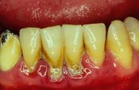
口腔科日常门诊中,常有老年人因牙龈出血或口臭来就诊。经检查,确定发生这些症状的原因主要是牙结石。大部老年人都有程度不同的牙结石。牙结石是附着在牙齿表面的硬性斑块,其外形似黄色干石灰块,较坚硬,易使牙龈出血。牙结石大多位于不易清洁的牙面上,如下前牙舌面、上磨牙颊面。引起牙结石的原因很多,如炎症、损伤、不良卫生习惯、个体差异(唾液PH值高者易发生牙结石)等。

沉积在龈缘龈沟内的结石,对牙龈造成持续性的刺激和压迫,使牙龈组织发生局部营养障碍,抗菌能力降低,牙龈易出现炎症、出血、萎缩,严重时可引发牙周脓肿、牙齿松动、脱落,破坏牙列完整,妨碍咀嚼功能,加重消化道负担,影响机体健康。

预防牙结石主要是保持口腔卫生,早晚刷牙,饭后漱口,多喝开水。有少量牙结石者,可以对着镜子用小刮匙或其他金属器具小心剔除;结石较多,或位于难以剔除部位者应到口腔科“洗牙”。  

预防措施

刷牙是预防牙结石形成的一种简便而又行之有效的方法。牙结石的沉积是由少到多,逐渐形成的。经常刷牙可将刚刚开始沉积于牙面的牙垢、牙结石及时刷掉。所以应该让儿童坚持刷牙,如若等到牙结石沉积很厚、附着很紧密时,就刷不掉了,必须由大夫协助才能去除。

另外由于精细食物粘性重糖分高,极易沉积于牙面,因此,应告诫儿童少吃精细食品,或吃后必须刷牙漱口。特别是睡前吃诸如饼干、蛋糕等精细食品,不仅容易形成牙结石,而且还会造成龋齿。所以平时一定要养成刷牙和保持口腔卫生的良好习惯。  

治疗护理

1、刷牙:早晚刷牙、饭后漱口是防治牙石形成的最重要措施。使用保健牙刷,选用含氟牙膏,采用正确的方法-竖刷法进行刷牙,纠正横刷法。这样不仅可清除食物残渣、牙面菌斑、牙垢污物,防止牙结石的形成和沉积,而且还能起到按摩牙龈,促进血液循环,增强牙周组织的抗病能力的作用。

2、饮食:合理营养,粗细搭配。多吃富有维生素粗纤维食物,如肉、蛋、各种蔬菜和水果,充分咀嚼以利于牙面清洁。少吃甜食及粘性很强的食物,不吃零食。

3、口腔健康检查:每半年进行一次口腔健康检查,采用超声洁牙机每年进行2-3次全口洁牙,使牙面、牙颈部经常处于洁净状态。美容牙科中心设有专门为患者进行超声洁牙(洗牙石)和喷粉洁牙(洗烟渍)的项目,并有培养有素的洁牙士,她们热情为您服务,为您解忧,还您有一副健康洁白的牙齿,让您笑口常开

4、洗牙:

洗牙前后

超声波洗牙,是针对清除牙齿结石部份。因为牙结石更容易造成牙菌班的堆积,造成牙龈炎、牙龈出血,牙周病。所以去除牙结石是医疗行为。当然在治疗的同时,齿颈部,邻接面的结石去除掉了,牙齿也会有美白的表现。洗牙的弊端在于比较痛,会出比较多的血,还有洗后牙齿表面比较粗糙,牙渍牙石的再次出现更加来得快。最后就是有可能感染疾病。

5、溶解牙石疗法:通过口含天然植物提练的牙齿黄金生物科技产品,无任何化学添加剂,无异味,无需进入肠胃吸收,只需要通过口含后刷牙漱口就可以看到明显效果,使用简单,安全性高,属于无痛去石,原理就是通过从植物中提炼而出的精华成份,跟牙石这种化学衍生物发生反应,从而达到深入牙龈溶解牙石的功效,牙结石脱落恢复牙齿表面原有的光泽,通过刷牙可将已溶解的龈下牙石清理出来,之后还能在牙齿表面加上一层保护膜,让牙石不再容易重新附着。

6、漂白:这种方式一般采用化学药物把牙齿表面漂白,而非真正的治疗,很多爱美之人会采取这种方式,其实不可取,一是没达到治疗的效果,二是对牙齿本身损伤严重。

现在牙结石洗牙通常是使用超音波洗牙机将牙结石震除,必要时再以括匙括除较深部的牙结石。

牙结石洗牙后的注意事项:

牙结石洗牙后虽然牙齿变干净,若因此忽略清洁、很快地牙结石会再长出来,所以勤刷牙及使用牙线仍是必要的。

牙结石洗牙的过程通常会有点酸痛,如果发炎情形厉害或牙结石很多很久未洗的人更可能会流点血。这都是可能的。洗牙后的流血情形一般会在一两天内慢慢消失,如能维持良好口腔卫生,洗牙前的刷牙流血现象多半可在一周左右自动不见。如果局部地方仍会流血,则得请牙医师小心检查是否已有牙周病或牙龈深部尚有残余的牙结石存在。

牙结石洗牙后的牙齿对冷热会有点敏感而感到酸痛,这暂时的症状及原来刷牙容易流血的情形通常在一周左右会消失。若酸痛症状一直存在可考虑市面上的抗敏感牙膏如舒X定等,使用一个月左右多会改善。

牙结石洗牙后的牙齿常会看起来比较长、牙缝常会看起来比较大,主要是因发炎的牙肉不再肿胀、牙肉恢后健康所致,这是好的现象请不要担心。  

评测标准

牙结石的分度

牙结石是附着在牙冠或牙颈部的钙化的矿物质。牙结石的存在可引起牙龈和牙周组织病变。可以说,牙结石是牙龈病的病因之一。牙结石常常引起牙龈组织出血及口腔异味等。如果一个人的牙周组织发炎,又有大量牙结石,可加重牙周组织的炎症。此时如果及时去除牙结石,有利于牙周组织炎症的消退。牙结石有多有少,不同的牙齿部位其数量不一样,了解牙结石的多少具有重要意义。临床医生和科研人员常常用牙结石的多少作为研究牙周病的指标之一;个人了解牙结石的多少可以测量自己刷牙的质量,为清洁口腔作参考。牙结石的多少可分为以下几度:

0度:无软垢及牙结石。

l度;少许软垢或牙结石,但末超过牙面的l/3。

2度:有牙结石,末超过冠面的1/3,有少量的龈下结石。

3度:牙结石不超过冠面的2/3,有较多的龈下结石。

根据牙结石度数可以计算牙结石指数:

各牙结石度数之和

牙结石指数=--------------------------

被检查总牙数

牙周组织病