组织学/肝门管区

来自医学百科
123.130.221.191讨论2021年7月22日 (四) 03:12的版本 (建立内容为“{{Hierarchy header}} 从肝门进出的门静脉、肝动脉和肝管,在肝内反复分支,伴行于小叶结缔组织内(图13-9)…”的新页面)
(差异) ←上一版本 | 最后版本 (差异) | 下一版本→ (差异)

肝门进出的门静脉、肝动脉和肝管,在肝内反复分支,伴行于小叶结缔组织内(图13-9)。在肝切片中,肝小叶周围的角缘处,可见较多的结缔组织,其中含有上述三种伴行管道的断面,称为门管区(portal area)。每个肝小叶的周围一般有3~4个门管区,门管区内主要有小叶间静脉小叶间动脉和小叶间胆管,此外还有淋巴管神经纤维(图13-21)。

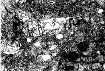
大鼠肝电镜像示胆小管


图13-19 大鼠肝电镜像示胆小管 ×30000

BC胆小管,HC肝细胞,↑紧密连接,(

Gunu8lsl.gif桥粒

高尔基复合体

(上海医科大学电镜室供图)

大鼠肝冷冻割断扫描电镜像示胆小管


图13-20 大鼠肝冷冻割断扫描电镜像示胆小管

(河北医学院应国华教授供图)

肝门管区


图13-21 肝门管区

小叶间静脉:是门静脉的分支,管腔较大而不规则,壁薄,内皮外仅有少量散在的平滑肌

小叶间动脉:是肝动脉的分支,管径较细,腔较小,管壁相对较厚,内皮外有几层环行平滑肌。

小叶间胆管:是肝管的分支,管壁由单层立方或低柱状上皮构成。